因为种植牙现在已经纳入到了医保的范围内,所以前来进行种植的人就越来越多,新昌人民医院口腔科挂号多少钱?新昌人民医院口腔科挂号的费用,主要是看医生的级别,级别越高职称越高,价格也就越高。

一、新昌人民医院口腔科简介
新昌县人民医院是三级乙等综合性医院,也是温州医科大学的附属新昌医院,在1950年就已经正式创办成立,已经成为了国内县级医院专科排名比较靠前的机构,目前与国内的一些大型医疗机构建立合作之后,推动医疗卫生资源均衡有序的供给,真正的解决患者看病难看病远的问题。
口腔科作为该地区的牙病防治中心,工作在这里的医务人员,都曾在杭州、北京等一些大型城市进修深造,医院所能够提供的调节项目涉及到口腔外科、口腔修复、牙齿正畸等多个领域,学术地位在不断的提高,牙齿种植也就成为了医院自身的特色,配备有全套的清洗消毒设备,可以阻断各种传染疾病,经牙科调节传播的途径,而且工作的医生也有着丰富的经验,能够进行牙齿美学设计。

二、新昌人民医院口腔科种植牙医生介绍
杨慈,从事临床工作多年的时间里,能够进行一些复杂的口腔调节,而且在上下颌骨骨折修复方面,也是有着独特专长的医生。
张玉波,主打的调节技术就是前牙美学修复以及口腔肿瘤的调节,对于口腔疾病的预防和调节也是有着丰富经验的医生。
三、新昌人民医院口腔科种植牙案例

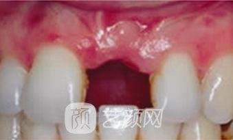
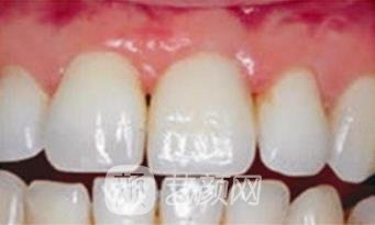
其实选择做牙齿种植还有一个小插曲,就是和朋友一起选择的,但因为没有朋友有钱就只能够选择普通的种植,前前后后大概用了有8个多月的时间,等待植入的牙根与牙骨完全融合之后才佩戴的牙冠,虽然花费的时间,但是调节的成果还是比较理想的。

“新昌人民医院口腔科挂号多少钱?”医院已经开启了在在线挂号的途径,可以登录医院自己的官网或者是通过拨打电话来进行预约。
以下项目收费信息为当地市场参考价,通过用户反馈大数据收集整理,仅供参考!不代表该机构实际价格,请以到院面诊为准!
|
整形项目价格表 |
|
整形项目 |
价格参考 |
|
3DS超薄瓷贴面 |
3354-8544 |
|
牙齿瓷贴面 |
1503-11829 |
|
E-MAX |
2207-17535 |
|
3D全瓷牙贴面 |
1952-15814 |
|
Mega隐形瓷贴面 |
1736-17969 |
|
美国皓齿 |
2553-17570 |
|
瓷贴面 |
1473-16592 |
|
烤瓷牙补牙 |
1674-13911 |
|
烤瓷牙种植 |
1928-20443 |
|
全瓷牙种植 |
2463-25810 |
|
合金烤瓷牙 |
2487-27253 |
|
贵金属烤瓷牙 |
2954-28544 |
|
二氧化锆全瓷牙 |
2615-32326 |
|
镶牙 |
1636-10965 |
|
牙冠 |
2561-28991 |
|
前突牙 |
2798-26896 |
|
内收牙 |
2749-27239 |
|
牙齿脱落 |
2475-30669 |
|
微创种植 |
2690-29760 |
|
活动假牙 |
2984-30553 |
|
假牙 |
2822-31642 |
|
美容冠 |
1347-3728 |
|
龅牙矫正 |
4226-10502 |
|
地包牙矫正 |
4637-11682 |
|
虎牙矫正 |
2592-12490 |
|
牙齿不齐 |
1497-11481 |
|
牙齿稀疏 |
1284-10226 |
|
牙齿拥挤 |
5495-21205 |
|
隐适美 |
7507-96434 |
|
隐形正畸 |
9500-95786 |
|
金属托槽矫正 |
8816-88658 |
|
自锁托槽矫正 |
9033-80491 |
|
透明托槽矫正 |
7667-85915 |
|
透明隐形矫正 |
9233-101207 |
|
隐形矫正 |
8764-84877 |
|
隐形牙套 |
9891-84671 |
|
牙齿拥挤矫正 |
8777-97151 |
|
地包天矫正 |
8558-87051 |
|
凸嘴矫正 |
7606-91114 |
|
金属托槽 |
8559-87111 |
|
半隐型矫正 |
8733-101637 |
|
陶瓷矫正 |
8563-93899 |
|
深覆颌 |
7819-99240 |
|
牙套 |
7578-93102 |
|
牙颌畸形 |
9019-83210 |
|
补牙 |
995-10292 |
|
牙齿缺损修复 |
1404-12069 |
|
坏牙 |
1350-10626 |
|
蛀牙 |
1386-11233 |
|
拔智齿 |
1280-12792 |
|
牙齿综合 |
1471-11525 |
|
根管调节 |
1373-10087 |
|
牙周护理 |
1285-10907 |
|
牙渍 |
1307-11485 |
|
阻生牙 |
1278-10504 |
|
隐裂牙 |
1339-10453 |
|
多生牙 |
1489-12815 |
|
磨牙 |
1059-11814 |
|
塞牙 |
1213-11053 |
|
牙缝变大 |
1124-12587 |
|
龋齿 |
1169-12390 |
|
牙齿断裂 |
1169-11542 |
|
虫牙 |
1431-10105 |
|
牙洞 |
1152-11821 |
|
树脂补牙 |
1120-10337 |
|
浅龋 |
1148-12267 |
|
中龋 |
1219-12191 |
|
深龋 |
1151-12254 |
|
3M树脂补牙 |
1177-10338 |
|
烂牙 |
1388-10832 |
|
牙齿龋坏 |
1117-11626 |
|
微创根管 |
1075-12423 |
|
牙痛 |
1497-11961 |
|
牙磨损 |
1154-12645 |
|
牙脱位 |
1484-10112 |
|
牙齿外伤 |
1440-10766 |
|
超声波洁牙 |
492-2253 |
|
咖啡牙美白 |
491-2343 |
|
喷砂洁牙 |
350-2055 |
|
色素牙美白 |
445-8356 |
|
四环素牙美白 |
426-7015 |
|
洗牙 |
387-2038 |
|
牙齿冷光美白 |
499-2035 |
|
牙齿抛光 |
313-1596 |
|
牙齿漂白 |
490-2113 |
|
烟渍牙美白 |
477-2059 |
|
冷光美白 |
440-2027 |
|
皓齿美白 |
476-2391 |
|
牙黄变白 |
487-2192 |
|
氟斑牙美白 |
409-2373 |
|
变色牙美白 |
460-2075 |
|
黑牙美白 |
464-2021 |
|
茶渍牙美白 |
449-2014 |
|
牙美白 |
500-2069 |
|
半口牙种植 |
52540-122527 |
|
单颗牙种植 |
14109-31312 |
|
多颗牙种植 |
26885-160893 |
|
后牙种植 |
18751-50027 |
|
前牙种植 |
9880-37850 |
|
全口牙种植 |
78021-344886 |
|
种植牙/颗 |
7326-17522 |
|
瑞士ITI种植牙/颗 |
9405-15891 |
|
美国3I种植牙/颗 |
8071-23088 |
|
德国费亚丹种植牙/颗 |
11457-18054 |
|
瑞典诺贝尔种植牙/颗 |
11198-15256 |
|
德国贝格种植牙/颗 |
8446-18866 |
|
美国百康种植牙/颗 |
8794-16529 |
|
瑞典诺贝尔种植/颗 |
11639-20461 |
|
ITI瑞锆种植牙/颗 |
9713-15411 |
|
韩国奥齿泰种植牙/颗 |
6554-10179 |
|
韩国登特斯种植牙/颗 |
5182-10236 |
|
韩国美格真种植牙/颗 |
5000-17369 |
|
韩国登腾种植牙/颗 |
5872-10281 |
|
韩国dio种植牙/颗 |
5778-10009 |
|
德国ICX种植牙/颗 |
10857-19108 |
|
法国安多健种植/颗 |
11005-16542 |
|
进口种植牙/颗 |
9997-18770 |
|
国产种植牙 |
5229-12858 |
|
以上价格仅供参考,实际价格请到医院面诊获取! |
还有整形疑惑?想了解更多整形医院价格信息?可以点击
【在线咨询】与整形顾问一对一沟通,免费为您提供医院对比、医生对比、价格对比等服务喔~!