现如今在市面上的牙齿种植体系是比较多的,不同的品牌在价格上的差别会比较大,而且不同的医院级别也会对调节的价格产生一些影响,珠海市人民医院口腔价格表图片分享给大家,在做牙齿种植之前可以作为参考。

一、珠海市人民医院口腔科简介
珠海市人民医院,在1995年升级成为三甲医院之后,是全省公立医院改革与高质量发展示范单位,以本部为中心所建立的医疗集团实施快速发展之后,成员单位覆盖香洲区和粤港澳大湾区,也成为了在华南部地区将有着较高声誉和地位的医院。
口腔科已经正式升级成为口腔调节中心,已经能够进行多种多样的调节,在种植修复以及牙齿矫正方面取得了比较好的发展,也汇集了一大批有实力的技术专家,通过多年来在技术方面的不断提升,已经攻克了在牙齿种植方面的许多难题,还能够进行穿颧穿翼的调节。

二、珠海市人民医院口腔科医生名单
黄伟,口腔调节工作已经有20多年的时间,在很多的公办医院进修学习之后,成为了科室当中的科主任,也拥有了颌面外科博士的学历,在牙齿种植方面更是科室当中的佼佼者。
蔡劲,毕业之后就从事一个口腔调节的临床工作,对于口腔颌面外科疾病、口腔种植修复以及牙周疾病的诊治有较为丰富和娴熟的技艺也自己总结出更符合当地人的调节方法。
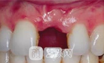
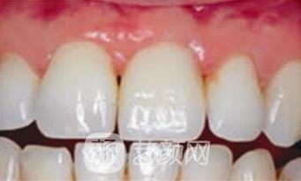
三、珠海市人民医院口腔科种植牙案例

不知道是不是因为自己年龄偏大的原因接连不断的掉了好几颗牙齿,如果单颗牙种植的话费用比较高,所以就选择了半口种植,种植了4颗牙齿之后就恢复了半口的咀嚼功能,还是比较划算的。

珠海市人民医院口腔价格表图片以及一科室的相关信息,就简单的介绍到这里,已经成为了珠海当地人气颇高的口腔调节中心,承担着多个方面的重要工作,而且在牙齿种植上也已经收获了较好的评价。
以下项目收费信息为当地市场参考价,通过用户反馈大数据收集整理,仅供参考!不代表该机构实际价格,请以到院面诊为准!
|
整形项目价格表 |
|
整形项目 |
价格参考 |
|
3DS超薄瓷贴面 |
3981-9179 |
|
牙齿瓷贴面 |
1708-10944 |
|
E-MAX |
2203-15025 |
|
3D全瓷牙贴面 |
2047-17917 |
|
Mega隐形瓷贴面 |
1827-15623 |
|
美国皓齿 |
2275-17903 |
|
瓷贴面 |
2510-17082 |
|
烤瓷牙补牙 |
1464-14707 |
|
烤瓷牙种植 |
1719-25250 |
|
全瓷牙种植 |
2959-25698 |
|
合金烤瓷牙 |
2996-25517 |
|
贵金属烤瓷牙 |
2727-29366 |
|
二氧化锆全瓷牙 |
2656-25628 |
|
镶牙 |
1684-11465 |
|
牙冠 |
2874-30666 |
|
前突牙 |
2634-27269 |
|
内收牙 |
2902-32471 |
|
牙齿脱落 |
2571-25774 |
|
微创种植 |
2749-29760 |
|
活动假牙 |
2615-29245 |
|
假牙 |
2906-29192 |
|
美容冠 |
1419-3094 |
|
龅牙矫正 |
4112-11594 |
|
地包牙矫正 |
4412-10012 |
|
虎牙矫正 |
2811-12380 |
|
牙齿不齐 |
1124-10550 |
|
牙齿稀疏 |
1326-10056 |
|
牙齿拥挤 |
5704-21823 |
|
隐适美 |
8940-101247 |
|
隐形正畸 |
8244-85835 |
|
金属托槽矫正 |
7829-82077 |
|
自锁托槽矫正 |
7620-101767 |
|
透明托槽矫正 |
9158-80456 |
|
透明隐形矫正 |
7947-90353 |
|
隐形矫正 |
8201-82785 |
|
隐形牙套 |
7721-86738 |
|
牙齿拥挤矫正 |
8148-101427 |
|
地包天矫正 |
8564-95509 |
|
凸嘴矫正 |
9290-87028 |
|
金属托槽 |
8920-96985 |
|
半隐型矫正 |
7247-103616 |
|
陶瓷矫正 |
7251-84575 |
|
深覆颌 |
7569-101838 |
|
牙套 |
9482-85413 |
|
牙颌畸形 |
8407-95020 |
|
补牙 |
972-12599 |
|
牙齿缺损修复 |
1285-10747 |
|
坏牙 |
1121-12312 |
|
蛀牙 |
1095-11601 |
|
拔智齿 |
1468-10521 |
|
牙齿综合 |
1499-10768 |
|
根管调节 |
1118-11020 |
|
牙周护理 |
1147-11590 |
|
牙渍 |
1184-11071 |
|
阻生牙 |
1415-12478 |
|
隐裂牙 |
1248-12189 |
|
多生牙 |
1208-10755 |
|
磨牙 |
1119-11233 |
|
塞牙 |
1321-11535 |
|
牙缝变大 |
1205-11316 |
|
龋齿 |
1408-11305 |
|
牙齿断裂 |
1152-11763 |
|
虫牙 |
1434-12410 |
|
牙洞 |
1224-10302 |
|
树脂补牙 |
1116-12735 |
|
浅龋 |
1290-11056 |
|
中龋 |
1403-12108 |
|
深龋 |
1178-12569 |
|
3M树脂补牙 |
1300-11377 |
|
烂牙 |
1212-12412 |
|
牙齿龋坏 |
1203-11795 |
|
微创根管 |
1308-12481 |
|
牙痛 |
1117-12039 |
|
牙磨损 |
1164-10199 |
|
牙脱位 |
1372-10640 |
|
牙齿外伤 |
1051-12238 |
|
超声波洁牙 |
402-2212 |
|
咖啡牙美白 |
429-2326 |
|
喷砂洁牙 |
397-2148 |
|
色素牙美白 |
416-8293 |
|
四环素牙美白 |
480-7028 |
|
洗牙 |
386-2259 |
|
牙齿冷光美白 |
451-2318 |
|
牙齿抛光 |
397-1514 |
|
牙齿漂白 |
453-2306 |
|
烟渍牙美白 |
500-2307 |
|
冷光美白 |
482-2315 |
|
皓齿美白 |
434-2030 |
|
牙黄变白 |
472-2018 |
|
氟斑牙美白 |
456-2083 |
|
变色牙美白 |
419-2400 |
|
黑牙美白 |
444-2343 |
|
茶渍牙美白 |
450-2148 |
|
牙美白 |
425-2135 |
|
半口牙种植 |
48765-151040 |
|
单颗牙种植 |
10906-31419 |
|
多颗牙种植 |
29175-180158 |
|
后牙种植 |
14989-50114 |
|
前牙种植 |
7846-36519 |
|
全口牙种植 |
93119-241877 |
|
种植牙/颗 |
9956-17142 |
|
瑞士ITI种植牙/颗 |
8567-19109 |
|
美国3I种植牙/颗 |
8443-21877 |
|
德国费亚丹种植牙/颗 |
11955-18006 |
|
瑞典诺贝尔种植牙/颗 |
11737-18293 |
|
德国贝格种植牙/颗 |
8564-18699 |
|
美国百康种植牙/颗 |
9187-18081 |
|
瑞典诺贝尔种植/颗 |
11692-22973 |
|
ITI瑞锆种植牙/颗 |
9731-15592 |
|
韩国奥齿泰种植牙/颗 |
6084-10451 |
|
韩国登特斯种植牙/颗 |
5511-10340 |
|
韩国美格真种植牙/颗 |
5938-15795 |
|
韩国登腾种植牙/颗 |
5221-10199 |
|
韩国dio种植牙/颗 |
5874-10177 |
|
德国ICX种植牙/颗 |
10865-19045 |
|
法国安多健种植/颗 |
11717-16303 |
|
进口种植牙/颗 |
9425-19348 |
|
国产种植牙 |
5804-12041 |
|
以上价格仅供参考,实际价格请到医院面诊获取! |
还有整形疑惑?想了解更多整形医院价格信息?可以点击
【在线咨询】与整形顾问一对一沟通,免费为您提供医院对比、医生对比、价格对比等服务喔~!