浙江省内的众多正规医疗机构,有不少都是三甲医院在开设有口腔科之后,针对于牙齿缺失和牙齿畸形等一些问题,提供了专属的调节。浙一医院种植牙多少钱一颗?根据小编的了解医院的单颗种植牙价格在3800元起,因为种植牙的品牌有很多,所以价格仅供大家作为参考。

一、浙一医院口腔科简介
浙江大学医学院附属第一医院多年来在器官移植、传染病以及泌尿系统的调节上,已经取得了比较高的声誉,还能够进行多种复杂疾病的调节,以综合实力雄厚且医疗质量过硬而享誉海内外。
口腔科是省内的重点学科,已经设立有6个专业组,并且开设有单独的口腔种植中心,是我国种植专委会的常委单位,而且作为医师的培养基地,也推动了省内医疗领域的发展,按照国际标准所设计的口腔科门诊,还引入了智慧化管理体系,让患者的就诊变得更加的舒适。

二、浙一医院口腔科人气大咖介绍
姚华,作为口腔科的主任医生,在牙周和口腔黏膜疾病方面的经验比较丰富,同时也能够进行口腔修复,从1995年开始就一直从事于口腔的临床教学科研工作,到现在已经取得了比较好的成绩。
徐婷,从知名的医学院校毕业之后,就一直从事牙齿美学修复相关的临床工作,而且针对于儿童口腔疾病的调节也是比较有经验的,对于早期进行咬合诱导的管理之后,可以方便后期的诊疗工作开展。
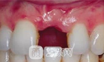
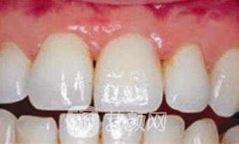
三、浙一医院口腔科种植牙案例

之所以选择牙齿种植,是因为有一颗槽牙发生了严重的龋齿,实在没办法了才能够把牙根拔掉,没有了牙齿之后吃东西是比较别扭的,后来在医生的推荐之下选择了种植,种植之后,当天就能够恢复饮食,而且因为护理的得到医生说能够使用很长的时间。

“浙一医院种植牙多少钱一颗?”在进行牙齿种植的时候,除了要考虑价格之外,好还是要到科室做进一步的检查和咨询,根据自己的口腔情况来选择相应的调节方法,毕竟除了种植牙之外,还有一些其他的修复方式。
以下项目收费信息为当地市场参考价,通过用户反馈大数据收集整理,仅供参考!不代表该机构实际价格,请以到院面诊为准!
|
整形项目价格表 |
|
整形项目 |
价格参考 |
|
3DS超薄瓷贴面 |
3260-8608 |
|
牙齿瓷贴面 |
1551-12801 |
|
E-MAX |
2864-17583 |
|
3D全瓷牙贴面 |
1775-16703 |
|
Mega隐形瓷贴面 |
1672-15114 |
|
美国皓齿 |
2628-17509 |
|
瓷贴面 |
2318-17767 |
|
烤瓷牙补牙 |
1721-15208 |
|
烤瓷牙种植 |
1729-20737 |
|
全瓷牙种植 |
2736-29057 |
|
合金烤瓷牙 |
2875-29625 |
|
贵金属烤瓷牙 |
2820-31515 |
|
二氧化锆全瓷牙 |
2619-30876 |
|
镶牙 |
1917-10053 |
|
牙冠 |
2644-26410 |
|
前突牙 |
2785-32167 |
|
内收牙 |
2497-28970 |
|
牙齿脱落 |
2650-25483 |
|
微创种植 |
2882-29600 |
|
活动假牙 |
2486-26301 |
|
假牙 |
2656-32240 |
|
美容冠 |
1483-3599 |
|
龅牙矫正 |
4431-10091 |
|
地包牙矫正 |
4761-12677 |
|
虎牙矫正 |
2795-10898 |
|
牙齿不齐 |
1317-12821 |
|
牙齿稀疏 |
1214-10307 |
|
牙齿拥挤 |
4871-23115 |
|
隐适美 |
8935-87736 |
|
隐形正畸 |
8058-91200 |
|
金属托槽矫正 |
8805-101434 |
|
自锁托槽矫正 |
8402-100516 |
|
透明托槽矫正 |
7604-86851 |
|
透明隐形矫正 |
9158-81105 |
|
隐形矫正 |
7764-96903 |
|
隐形牙套 |
9935-87157 |
|
牙齿拥挤矫正 |
8972-95935 |
|
地包天矫正 |
9597-97370 |
|
凸嘴矫正 |
7416-88847 |
|
金属托槽 |
7074-97314 |
|
半隐型矫正 |
7254-87755 |
|
陶瓷矫正 |
7329-98971 |
|
深覆颌 |
9402-103807 |
|
牙套 |
8565-97066 |
|
牙颌畸形 |
7405-103177 |
|
补牙 |
714-12832 |
|
牙齿缺损修复 |
1456-11803 |
|
坏牙 |
1435-11400 |
|
蛀牙 |
1198-11816 |
|
拔智齿 |
1107-11891 |
|
牙齿综合 |
1226-12146 |
|
根管调节 |
1296-12476 |
|
牙周护理 |
1301-11877 |
|
牙渍 |
1435-10442 |
|
阻生牙 |
1139-10847 |
|
隐裂牙 |
1160-10990 |
|
多生牙 |
1316-10691 |
|
磨牙 |
1320-10258 |
|
塞牙 |
1200-11249 |
|
牙缝变大 |
1245-11631 |
|
龋齿 |
1166-12803 |
|
牙齿断裂 |
1232-11443 |
|
虫牙 |
1203-10118 |
|
牙洞 |
1171-12684 |
|
树脂补牙 |
1459-10277 |
|
浅龋 |
1281-11013 |
|
中龋 |
1078-12785 |
|
深龋 |
1146-11585 |
|
3M树脂补牙 |
1424-12584 |
|
烂牙 |
1073-10887 |
|
牙齿龋坏 |
1458-11660 |
|
微创根管 |
1263-12872 |
|
牙痛 |
1440-10893 |
|
牙磨损 |
1449-11701 |
|
牙脱位 |
1072-11427 |
|
牙齿外伤 |
1274-12970 |
|
超声波洁牙 |
427-2021 |
|
咖啡牙美白 |
428-2107 |
|
喷砂洁牙 |
338-2039 |
|
色素牙美白 |
490-8060 |
|
四环素牙美白 |
495-7022 |
|
洗牙 |
394-2212 |
|
牙齿冷光美白 |
440-2158 |
|
牙齿抛光 |
392-1584 |
|
牙齿漂白 |
432-2132 |
|
烟渍牙美白 |
482-2332 |
|
冷光美白 |
465-2042 |
|
皓齿美白 |
441-2157 |
|
牙黄变白 |
470-2309 |
|
氟斑牙美白 |
486-2265 |
|
变色牙美白 |
430-2244 |
|
黑牙美白 |
430-2217 |
|
茶渍牙美白 |
426-2379 |
|
牙美白 |
452-2345 |
|
半口牙种植 |
52067-126434 |
|
单颗牙种植 |
13369-32446 |
|
多颗牙种植 |
29557-178843 |
|
后牙种植 |
15608-50777 |
|
前牙种植 |
9631-36782 |
|
全口牙种植 |
87497-291058 |
|
种植牙/颗 |
7200-19087 |
|
瑞士ITI种植牙/颗 |
8706-15946 |
|
美国3I种植牙/颗 |
9590-22117 |
|
德国费亚丹种植牙/颗 |
11633-19440 |
|
瑞典诺贝尔种植牙/颗 |
11751-16464 |
|
德国贝格种植牙/颗 |
8398-19334 |
|
美国百康种植牙/颗 |
8954-19001 |
|
瑞典诺贝尔种植/颗 |
11862-20549 |
|
ITI瑞锆种植牙/颗 |
9275-15152 |
|
韩国奥齿泰种植牙/颗 |
6185-10309 |
|
韩国登特斯种植牙/颗 |
5395-9085 |
|
韩国美格真种植牙/颗 |
5214-16845 |
|
韩国登腾种植牙/颗 |
5576-10102 |
|
韩国dio种植牙/颗 |
5886-10419 |
|
德国ICX种植牙/颗 |
10056-19294 |
|
法国安多健种植/颗 |
11406-17755 |
|
进口种植牙/颗 |
9748-16189 |
|
国产种植牙 |
5731-14434 |
|
以上价格仅供参考,实际价格请到医院面诊获取! |
还有整形疑惑?想了解更多整形医院价格信息?可以点击
【在线咨询】与整形顾问一对一沟通,免费为您提供医院对比、医生对比、价格对比等服务喔~!