牙齿不够整齐或者是牙齿缺失,对于我们生活的影响还是比较大的,甚至有些人会因为牙齿的问题而感觉到很自卑,想要迫切的解决口腔的问题,就要先找到一所正规的医院,现如今开设在昆山的同济医院,在牙齿种植方面的技术实力如何,是很多人比较关心的话题,根据小编的了解,不仅拥有娴熟的操作,而且还引入了很多的种植系统。

一、昆山同济口腔怎么样?
早在2005年就已经正式创办成立,作为当地卫生部门批准之后投资创办的口腔诊疗中心,不仅格外注重于在技术方面的优化,所开设的口腔诊疗科,布置合理,设备齐全,而且还拥有一大批经验比较丰富的医生,坚持为患者朋友提供高质量的调节。
这些医生不仅都经过了严格的筛选,能够开展的项目也比较多,好像是在常规方面的牙齿种植和牙齿正畸,已经成功打造了很多的经典调节案例,也就得到了不少患者朋友的喜爱,随着服务水平的提高,术后的好评率也在直线上升。

二、昆山同济口腔医生种牙技术好不好?
顾圣祖,作为科室当中比较擅长做牙齿种植的医生,工作态度端正,而且为人比较谦和,还专门到大型的口腔医院进行过培训,得到了很多患者朋友的一致肯定。
田连松,无论是拔牙还是补牙,在调节方面的人气都比较高,也能够开展的种植修复,目前还是医院的院长。
三、昆山同济口腔案例

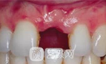
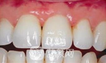
因为有一颗侧面的牙齿出现了脱落,造成了面部的不美观,所以平时和别人说话的时候都下意识的要捂住嘴巴,在朋友的介绍之下到了医院做了口腔调节,医生温和比较有耐心,而且根据我的面部形态以及口腔的基础条件制定了种植,当天就能够恢复正常的饮食。

“昆山同济口腔怎么样?”在口腔种植方面的技术比较成熟,作为一所口腔专科医院,也为该地区的患者提供了高质量的调节,也比较注重于医德医风的建设。
还有整形疑惑?想了解更多整形医院价格信息?可以点击
【在线咨询】与整形顾问一对一沟通,免费为您提供医院对比、医生对比、价格对比等服务喔~!