不同地区在口腔疾病的诊疗方面,需求有着较大的区别,相应开设有口腔专科医院之后,也让患者朋友能够做进一步的调节。附上沧州口腔医院牙科价格表以及医院的详细信息,作为一所口腔专科医院,除了能够进行各种常见疾病的调节之外,对于复杂性的疾病诊治也是比较有经验的,安排专门的医生提供帮助。

一、沧州口腔医院技术怎么样
沧州口腔医院是当地的老牌口腔专科医院,有着60多年的发展历史,从创办成立之初,从小小的口腔门诊发展到一所大型的现代化医院,不仅把患者的调节需求摆在首位,而且始终肩负着普及口腔保健知识,提高口腔保健意识的重要工作,为当地百姓的口腔健康保驾护航。
在调节方面已经开设有不少的临床专科,设立有口腔种植中心、口腔正畸中心,也能够进行口腔修复和牙齿疾病的综合调节,还肩负着适龄儿童的窝沟封闭工作。

二、沧州口腔医院医生推荐
任勇武,作为医院的技术院长,同时也是牙齿种植中心的主要负责人,在调节方面能够进行全口牙齿的种植,有着多年从业经历的医生,具备有扎实的理论知识基础,而且对于各类种植牙体是比较熟悉的,提供的调节方案更是具有较高的性价比。
王树军,科班出身的王医生,目前是医院的业务院长,作为全科医生,能够进行多种多样的疾病调节,工作的时间也比较久,凭借着认真负责的态度和热情周到的服务得到了不少患者的好评。
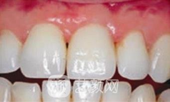
三、沧州口腔医院种植牙案例对比

经过检查之后,医生说我的口腔条件还算理想,可以考虑做牙齿种植,植入了人工牙根之后,为了避免影响术后的恢复,所以坚持了大概有两三个月的时间,吃东西上比较控制,不吃坚硬的食物,现在佩戴了牙冠之后看不出来和正常的牙齿有什么区别。

沧州口腔医院牙科价格表上的价格仅供大家作为参考,种植牙一直以来都是医院的特色项目,并且多次派出医生前往上级医疗单位学习,能够对多种牙齿缺失的问题开展调节,提供性价比更高的科学调节方法。
以下项目收费信息为当地市场参考价,通过用户反馈大数据收集整理,仅供参考!不代表该机构实际价格,请以到院面诊为准!
|
整形项目价格表 |
|
整形项目 |
价格参考 |
|
3DS超薄瓷贴面 |
3303-9131 |
|
牙齿瓷贴面 |
1828-11002 |
|
E-MAX |
1857-17791 |
|
3D全瓷牙贴面 |
2043-17446 |
|
Mega隐形瓷贴面 |
2553-17179 |
|
美国皓齿 |
2150-16187 |
|
瓷贴面 |
2537-17028 |
|
烤瓷牙补牙 |
1544-14863 |
|
烤瓷牙种植 |
1784-24152 |
|
全瓷牙种植 |
2751-30629 |
|
合金烤瓷牙 |
2657-31597 |
|
贵金属烤瓷牙 |
2878-29446 |
|
二氧化锆全瓷牙 |
2503-31592 |
|
镶牙 |
1991-10843 |
|
牙冠 |
2673-25012 |
|
前突牙 |
2434-28526 |
|
内收牙 |
2789-26353 |
|
牙齿脱落 |
2440-28156 |
|
微创种植 |
2648-25459 |
|
活动假牙 |
2589-29841 |
|
假牙 |
2749-25560 |
|
美容冠 |
1193-3784 |
|
龅牙矫正 |
4390-10131 |
|
地包牙矫正 |
4392-10083 |
|
虎牙矫正 |
2525-11450 |
|
牙齿不齐 |
1389-11624 |
|
牙齿稀疏 |
1361-10569 |
|
牙齿拥挤 |
5168-21543 |
|
隐适美 |
9150-96113 |
|
隐形正畸 |
9456-103673 |
|
金属托槽矫正 |
9014-93620 |
|
自锁托槽矫正 |
8210-101268 |
|
透明托槽矫正 |
9185-86632 |
|
透明隐形矫正 |
9797-96039 |
|
隐形矫正 |
8251-101055 |
|
隐形牙套 |
9711-95115 |
|
牙齿拥挤矫正 |
9580-87711 |
|
地包天矫正 |
9992-95067 |
|
凸嘴矫正 |
8665-88265 |
|
金属托槽 |
7522-83914 |
|
半隐型矫正 |
8316-100025 |
|
陶瓷矫正 |
9334-85706 |
|
深覆颌 |
9966-103187 |
|
牙套 |
7727-101559 |
|
牙颌畸形 |
8573-87567 |
|
补牙 |
787-10656 |
|
牙齿缺损修复 |
1318-10236 |
|
坏牙 |
1091-10227 |
|
蛀牙 |
1431-11892 |
|
拔智齿 |
1172-12415 |
|
牙齿综合 |
1358-10730 |
|
根管调节 |
1348-10064 |
|
牙周护理 |
1287-10030 |
|
牙渍 |
1351-10758 |
|
阻生牙 |
1265-12331 |
|
隐裂牙 |
1124-10199 |
|
多生牙 |
1267-11988 |
|
磨牙 |
1104-12266 |
|
塞牙 |
1224-11806 |
|
牙缝变大 |
1499-12621 |
|
龋齿 |
1397-11670 |
|
牙齿断裂 |
1220-10657 |
|
虫牙 |
1151-12240 |
|
牙洞 |
1066-11247 |
|
树脂补牙 |
1386-12684 |
|
浅龋 |
1397-10181 |
|
中龋 |
1056-11630 |
|
深龋 |
1202-11993 |
|
3M树脂补牙 |
1382-10154 |
|
烂牙 |
1395-10146 |
|
牙齿龋坏 |
1320-12460 |
|
微创根管 |
1355-10595 |
|
牙痛 |
1400-11269 |
|
牙磨损 |
1449-11377 |
|
牙脱位 |
1162-10615 |
|
牙齿外伤 |
1224-12930 |
|
超声波洁牙 |
459-2397 |
|
咖啡牙美白 |
446-2132 |
|
喷砂洁牙 |
308-2026 |
|
色素牙美白 |
431-8333 |
|
四环素牙美白 |
441-7173 |
|
洗牙 |
306-2044 |
|
牙齿冷光美白 |
495-2356 |
|
牙齿抛光 |
356-1733 |
|
牙齿漂白 |
460-2009 |
|
烟渍牙美白 |
453-2165 |
|
冷光美白 |
452-2002 |
|
皓齿美白 |
405-2187 |
|
牙黄变白 |
426-2221 |
|
氟斑牙美白 |
451-2346 |
|
变色牙美白 |
481-2109 |
|
黑牙美白 |
493-2136 |
|
茶渍牙美白 |
425-2112 |
|
牙美白 |
499-2338 |
|
半口牙种植 |
50267-135982 |
|
单颗牙种植 |
13174-32316 |
|
多颗牙种植 |
29855-172454 |
|
后牙种植 |
16096-58368 |
|
前牙种植 |
7158-37348 |
|
全口牙种植 |
94689-248921 |
|
种植牙/颗 |
7128-15611 |
|
瑞士ITI种植牙/颗 |
8922-15293 |
|
美国3I种植牙/颗 |
9215-21408 |
|
德国费亚丹种植牙/颗 |
11642-16357 |
|
瑞典诺贝尔种植牙/颗 |
11452-17208 |
|
德国贝格种植牙/颗 |
8571-15381 |
|
美国百康种植牙/颗 |
9062-15272 |
|
瑞典诺贝尔种植/颗 |
11782-21434 |
|
ITI瑞锆种植牙/颗 |
9001-17081 |
|
韩国奥齿泰种植牙/颗 |
6772-10143 |
|
韩国登特斯种植牙/颗 |
5907-10067 |
|
韩国美格真种植牙/颗 |
5315-15775 |
|
韩国登腾种植牙/颗 |
5063-10390 |
|
韩国dio种植牙/颗 |
5093-10211 |
|
德国ICX种植牙/颗 |
10968-19437 |
|
法国安多健种植/颗 |
11285-15558 |
|
进口种植牙/颗 |
9579-18107 |
|
国产种植牙 |
5371-12874 |
|
以上价格仅供参考,实际价格请到医院面诊获取! |
还有整形疑惑?想了解更多整形医院价格信息?可以点击
【在线咨询】与整形顾问一对一沟通,免费为您提供医院对比、医生对比、价格对比等服务喔~!