现如今许多城市当中,都已经有很多以实力而著称的医院,在诊疗方面的能力比较突出。绍兴柯桥博雅口腔医院种牙收费合理吗?毕竟是一所正规的口腔医院,在调节方面还是比较合理的,而且汇集了很多有实力的技术专家,尤其是在牙齿种植方面,相继引入了很多的种植系统之后,满足了不同年龄段患者的调节需求。

一、绍兴柯桥博雅口腔医院简介
有许多公办医院医生共同组建筹办而成的口腔专科医院,目前也是绍兴当地的医保定点单位,凭借着精湛的技术以及齐全的项目类型,得到了不少患者朋友的好评,有着1600平方米的医院面积,在开设有种植科、正畸科以及儿童口腔专科之后,满足了不同年龄段患者的调节需求,让患者的看牙之旅变得更加顺利。
目前医院也引入了不少的医疗设备,包括有现代化进口综合调节台、光固化机以及长度的测量仪,此外还拥有数字化管理系统。

二、绍兴柯桥博雅口腔医院医生推荐
金灿新,是绍兴市中西医结合口腔专业委员会的正式成员之一,而且作为医院的院长,在口腔种植方面拥有着较为丰富的调节经验,也在上级医疗单位学习过不少的种植方式,成为了深受好评的医生之一。
樊云霞,作为医院的副院长,从温州医科大学毕业之后就参加工作,并且一直注重于提升自己在种植中老年人种植修复方面的技术,是浙江省民营口腔协会的理事成员。
三、绍兴柯桥博雅口腔医院种植牙案例

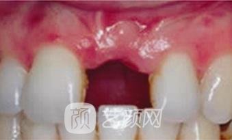
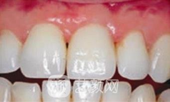
上了年纪之后就发现身体一天不如一天了,因为一场意外而导致的前牙缺损,又不想再磨损正常的牙齿,所以就选择了牙齿种植,好在经过了认真的护理之后,终于弥补了牙齿缺失的问题,现在的牙齿看上去和真的牙齿没什么区别。

“绍兴柯桥博雅口腔医院种牙收费合理吗?”医院的收费已经通过了物价部门的审批,而且以精湛的技术为基础逐步奠定在行业当中的地位。
以下项目收费信息为当地市场参考价,通过用户反馈大数据收集整理,仅供参考!不代表该机构实际价格,请以到院面诊为准!
|
整形项目价格表 |
|
整形项目 |
价格参考 |
|
3DS超薄瓷贴面 |
3288-8919 |
|
牙齿瓷贴面 |
1533-10163 |
|
E-MAX |
1994-15610 |
|
3D全瓷牙贴面 |
1675-15830 |
|
Mega隐形瓷贴面 |
2884-17840 |
|
美国皓齿 |
1711-15327 |
|
瓷贴面 |
2822-17142 |
|
烤瓷牙补牙 |
1606-14810 |
|
烤瓷牙种植 |
1849-23536 |
|
全瓷牙种植 |
2687-30425 |
|
合金烤瓷牙 |
2846-31254 |
|
贵金属烤瓷牙 |
2736-25420 |
|
二氧化锆全瓷牙 |
2736-28204 |
|
镶牙 |
1575-11797 |
|
牙冠 |
2765-28949 |
|
前突牙 |
2970-30407 |
|
内收牙 |
2764-29573 |
|
牙齿脱落 |
2870-32156 |
|
微创种植 |
2465-30264 |
|
活动假牙 |
2613-26352 |
|
假牙 |
2891-31923 |
|
美容冠 |
1349-3434 |
|
龅牙矫正 |
4563-10128 |
|
地包牙矫正 |
4667-11003 |
|
虎牙矫正 |
2428-12829 |
|
牙齿不齐 |
1218-12674 |
|
牙齿稀疏 |
1415-11491 |
|
牙齿拥挤 |
5953-21681 |
|
隐适美 |
9675-89350 |
|
隐形正畸 |
8234-97878 |
|
金属托槽矫正 |
8963-93503 |
|
自锁托槽矫正 |
9194-85420 |
|
透明托槽矫正 |
9593-98940 |
|
透明隐形矫正 |
8273-90944 |
|
隐形矫正 |
8751-92081 |
|
隐形牙套 |
7808-101069 |
|
牙齿拥挤矫正 |
9028-96524 |
|
地包天矫正 |
9077-95584 |
|
凸嘴矫正 |
8989-92979 |
|
金属托槽 |
8005-102850 |
|
半隐型矫正 |
7563-94556 |
|
陶瓷矫正 |
9890-88106 |
|
深覆颌 |
7664-84848 |
|
牙套 |
8567-95033 |
|
牙颌畸形 |
7474-85037 |
|
补牙 |
921-11437 |
|
牙齿缺损修复 |
1142-10465 |
|
坏牙 |
1127-12542 |
|
蛀牙 |
1239-11530 |
|
拔智齿 |
1075-12536 |
|
牙齿综合 |
1247-10098 |
|
根管调节 |
1222-12989 |
|
牙周护理 |
1298-10653 |
|
牙渍 |
1280-12220 |
|
阻生牙 |
1467-12695 |
|
隐裂牙 |
1430-11904 |
|
多生牙 |
1338-12522 |
|
磨牙 |
1106-10039 |
|
塞牙 |
1167-11298 |
|
牙缝变大 |
1471-11466 |
|
龋齿 |
1303-12779 |
|
牙齿断裂 |
1408-10923 |
|
虫牙 |
1215-12579 |
|
牙洞 |
1112-11110 |
|
树脂补牙 |
1293-10888 |
|
浅龋 |
1117-10420 |
|
中龋 |
1157-12343 |
|
深龋 |
1267-12719 |
|
3M树脂补牙 |
1308-10497 |
|
烂牙 |
1128-10301 |
|
牙齿龋坏 |
1329-11986 |
|
微创根管 |
1095-11371 |
|
牙痛 |
1309-12471 |
|
牙磨损 |
1171-12890 |
|
牙脱位 |
1366-11507 |
|
牙齿外伤 |
1065-11954 |
|
超声波洁牙 |
500-2356 |
|
咖啡牙美白 |
481-2148 |
|
喷砂洁牙 |
363-2378 |
|
色素牙美白 |
488-8046 |
|
四环素牙美白 |
462-7295 |
|
洗牙 |
328-2335 |
|
牙齿冷光美白 |
426-2165 |
|
牙齿抛光 |
309-1705 |
|
牙齿漂白 |
430-2153 |
|
烟渍牙美白 |
480-2167 |
|
冷光美白 |
444-2167 |
|
皓齿美白 |
487-2089 |
|
牙黄变白 |
419-2340 |
|
氟斑牙美白 |
469-2291 |
|
变色牙美白 |
428-2139 |
|
黑牙美白 |
453-2253 |
|
茶渍牙美白 |
424-2358 |
|
牙美白 |
478-2396 |
|
半口牙种植 |
51374-130390 |
|
单颗牙种植 |
11772-25667 |
|
多颗牙种植 |
29614-173849 |
|
后牙种植 |
16865-55887 |
|
前牙种植 |
8169-35243 |
|
全口牙种植 |
77333-239929 |
|
种植牙/颗 |
6079-17446 |
|
瑞士ITI种植牙/颗 |
9849-15345 |
|
美国3I种植牙/颗 |
8939-21451 |
|
德国费亚丹种植牙/颗 |
11427-15470 |
|
瑞典诺贝尔种植牙/颗 |
11066-16735 |
|
德国贝格种植牙/颗 |
8177-18008 |
|
美国百康种植牙/颗 |
9058-17719 |
|
瑞典诺贝尔种植/颗 |
11386-20285 |
|
ITI瑞锆种植牙/颗 |
8937-17120 |
|
韩国奥齿泰种植牙/颗 |
6400-10358 |
|
韩国登特斯种植牙/颗 |
5059-10398 |
|
韩国美格真种植牙/颗 |
5065-18852 |
|
韩国登腾种植牙/颗 |
5705-10163 |
|
韩国dio种植牙/颗 |
5237-10377 |
|
德国ICX种植牙/颗 |
10758-19410 |
|
法国安多健种植/颗 |
11568-18176 |
|
进口种植牙/颗 |
9467-16963 |
|
国产种植牙 |
5896-11298 |
|
以上价格仅供参考,实际价格请到医院面诊获取! |
还有整形疑惑?想了解更多整形医院价格信息?可以点击
【在线咨询】与整形顾问一对一沟通,免费为您提供医院对比、医生对比、价格对比等服务喔~!