大家有没有对种植牙做过一些了解,种植牙被称为是人类的第3副牙齿,在人们有了牙齿缺失的困扰之后,就可以到专业的口腔医院去做牙齿种植,帮助恢复口腔和牙齿的健康,现在人们的饮食结构相对来说比较复杂,所以有很多人的牙齿也都出现了问题,这个时候能做的就是找个专业的口腔医院进行调节,苏州相城口腔医院怎么样?医院对于各种口腔疾病的诊疗有着较高的水准,是一所规模比较大的正规现代化医院,并且也有合理的收费标准,价格2000元起步,仅供参考,已经收获了很多患者的认可。

一、苏州相城人民医院口腔科介绍
苏州相城人民医院目前是一所三级综合医院,在当地也拥有较大的规模,经过多年的发展,医院目前开设有30多个临床专科,还打造了危重症救治中心,对于医疗技术和人才培养方面都比较注重,也成了当地人民心中比较好的靠谱医院。

院内的口腔科室承担着口腔疾病诊疗和预防的重要工作,对于各种牙齿和口腔的疾病诊疗已经成了自身的优势,能够开展的项目多种多样,包括牙齿种植、牙齿畸形矫正和各种牙髓病的诊治等等,科室里也引进了很多新型的种植系统,很大程度上降低了手术过程中的风险,医生也能熟练运用各种医疗器械,能满足大部分患者的日常就诊需求。
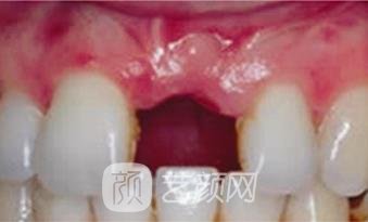
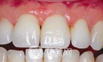
二、苏州相城口腔医院种植牙案例

怀着忐忑的心情来到了医院,让医生帮我看了看牙齿的问题,医生建议我将龋坏的牙齿拔掉,重新做个种植,我也听从了医生的专业意见,很快医生就帮我安排了手术,种植牙齿的过程中没有出现任何不良的情况,手术很顺利的就做完了,做完手术之后开始不太适应,经过了一段时间的磨合,牙齿用着就顺利多了,跟我自己的牙没太大区别,正常的咬合和咀嚼功能都挺好的。

以上就是关于苏州相城口腔医院怎么样?的介绍,医院无论是从口碑还是资质来看,实力都挺不错的,尤其对于牙齿种植方面拥有过硬的技术,可以放心的到医院进行诊疗。
以下项目收费信息为当地市场参考价,通过用户反馈大数据收集整理,仅供参考!不代表该机构实际价格,请以到院面诊为准!
|
整形项目价格表 |
|
整形项目 |
价格参考 |
|
3DS超薄瓷贴面 |
3205-9729 |
|
牙齿瓷贴面 |
1705-10330 |
|
E-MAX |
1522-15914 |
|
3D全瓷牙贴面 |
2451-16850 |
|
Mega隐形瓷贴面 |
2317-15345 |
|
美国皓齿 |
1715-16689 |
|
瓷贴面 |
1766-17520 |
|
烤瓷牙补牙 |
1485-12761 |
|
烤瓷牙种植 |
1937-25114 |
|
全瓷牙种植 |
2881-25816 |
|
合金烤瓷牙 |
2639-25869 |
|
贵金属烤瓷牙 |
2616-29676 |
|
二氧化锆全瓷牙 |
2961-30248 |
|
镶牙 |
1721-11069 |
|
牙冠 |
2688-31969 |
|
前突牙 |
2589-25947 |
|
内收牙 |
2771-27662 |
|
牙齿脱落 |
2694-28728 |
|
微创种植 |
2978-27937 |
|
活动假牙 |
2657-26444 |
|
假牙 |
2740-29435 |
|
美容冠 |
1241-3857 |
|
龅牙矫正 |
4394-12659 |
|
地包牙矫正 |
4667-11265 |
|
虎牙矫正 |
2734-12703 |
|
牙齿不齐 |
1303-10647 |
|
牙齿稀疏 |
1108-12501 |
|
牙齿拥挤 |
5446-21940 |
|
隐适美 |
7474-86848 |
|
隐形正畸 |
8891-97121 |
|
金属托槽矫正 |
7632-86711 |
|
自锁托槽矫正 |
9723-96908 |
|
透明托槽矫正 |
7682-82354 |
|
透明隐形矫正 |
7741-98363 |
|
隐形矫正 |
8870-87733 |
|
隐形牙套 |
9786-101229 |
|
牙齿拥挤矫正 |
8080-80360 |
|
地包天矫正 |
7440-93285 |
|
凸嘴矫正 |
8291-97082 |
|
金属托槽 |
7317-88205 |
|
半隐型矫正 |
9921-93266 |
|
陶瓷矫正 |
8298-91046 |
|
深覆颌 |
9532-96506 |
|
牙套 |
7423-102440 |
|
牙颌畸形 |
9582-93399 |
|
补牙 |
844-11461 |
|
牙齿缺损修复 |
1192-12542 |
|
坏牙 |
1494-12982 |
|
蛀牙 |
1491-11273 |
|
拔智齿 |
1165-11590 |
|
牙齿综合 |
1161-11511 |
|
根管调节 |
1284-12809 |
|
牙周护理 |
1273-12340 |
|
牙渍 |
1306-12764 |
|
阻生牙 |
1233-12345 |
|
隐裂牙 |
1306-10786 |
|
多生牙 |
1326-11735 |
|
磨牙 |
1353-11692 |
|
塞牙 |
1179-11627 |
|
牙缝变大 |
1326-12397 |
|
龋齿 |
1176-10140 |
|
牙齿断裂 |
1276-11697 |
|
虫牙 |
1132-10180 |
|
牙洞 |
1298-11885 |
|
树脂补牙 |
1435-10105 |
|
浅龋 |
1372-11809 |
|
中龋 |
1078-10649 |
|
深龋 |
1167-12671 |
|
3M树脂补牙 |
1252-10534 |
|
烂牙 |
1078-12376 |
|
牙齿龋坏 |
1143-10219 |
|
微创根管 |
1435-11725 |
|
牙痛 |
1247-12273 |
|
牙磨损 |
1411-10924 |
|
牙脱位 |
1088-10487 |
|
牙齿外伤 |
1118-12635 |
|
超声波洁牙 |
448-2377 |
|
咖啡牙美白 |
439-2081 |
|
喷砂洁牙 |
386-2261 |
|
色素牙美白 |
488-8286 |
|
四环素牙美白 |
469-7369 |
|
洗牙 |
354-2311 |
|
牙齿冷光美白 |
497-2085 |
|
牙齿抛光 |
345-1504 |
|
牙齿漂白 |
457-2040 |
|
烟渍牙美白 |
472-2102 |
|
冷光美白 |
447-2295 |
|
皓齿美白 |
444-2050 |
|
牙黄变白 |
429-2394 |
|
氟斑牙美白 |
433-2343 |
|
变色牙美白 |
416-2217 |
|
黑牙美白 |
406-2034 |
|
茶渍牙美白 |
454-2021 |
|
牙美白 |
478-2203 |
|
半口牙种植 |
51818-122741 |
|
单颗牙种植 |
10605-30946 |
|
多颗牙种植 |
27640-161755 |
|
后牙种植 |
14794-60472 |
|
前牙种植 |
9582-38944 |
|
全口牙种植 |
77198-248926 |
|
种植牙/颗 |
6671-17194 |
|
瑞士ITI种植牙/颗 |
8700-17480 |
|
美国3I种植牙/颗 |
8283-20412 |
|
德国费亚丹种植牙/颗 |
11148-18902 |
|
瑞典诺贝尔种植牙/颗 |
11169-15833 |
|
德国贝格种植牙/颗 |
8587-15939 |
|
美国百康种植牙/颗 |
9346-18669 |
|
瑞典诺贝尔种植/颗 |
11789-23318 |
|
ITI瑞锆种植牙/颗 |
8057-18637 |
|
韩国奥齿泰种植牙/颗 |
6253-10024 |
|
韩国登特斯种植牙/颗 |
5333-9573 |
|
韩国美格真种植牙/颗 |
5956-18295 |
|
韩国登腾种植牙/颗 |
5663-10437 |
|
韩国dio种植牙/颗 |
5424-10011 |
|
德国ICX种植牙/颗 |
10695-19096 |
|
法国安多健种植/颗 |
11040-16699 |
|
进口种植牙/颗 |
9179-15711 |
|
国产种植牙 |
5580-10743 |
|
以上价格仅供参考,实际价格请到医院面诊获取! |
还有整形疑惑?想了解更多整形医院价格信息?可以点击
【在线咨询】与整形顾问一对一沟通,免费为您提供医院对比、医生对比、价格对比等服务喔~!