大家对于牙齿种植还是比较关注的,随着种植牙纳入到了医保的体系当中之后,种植牙的费用已经逐步降低,是很多大众都能够接受得了的费用。江苏省中医院口腔科的吴国荣已经成为了医疗团队里,在牙齿种植方面技术比较成熟的医生,如果想要找医生就诊的话,可以在每周二以及每周三到医院的本部就诊。

一、江苏省中医院吴国荣怎么样?
吴国荣作为在医院口腔科里工作时间比较久的一位医生,从事口腔疾病诊疗已经有20多年的时间,对于口腔黏膜疾病以及疑难疾病的诊治比较有经验,而且对于复发性口腔溃疡以及牙齿种植,也同样具备有娴熟的技术手法,使用一些独特的调节手段之后,既能够解决口腔的问题也能够进行学术方面的研究,取得了比较好的成绩。
在进行牙齿调节的时候,遵循四手操作原则,始终把患者的调节需求摆在首位,提供科学化的调节方案,而且在诊治的过程里,会降低调节的费用,得到了不少患者朋友的一致认可。

二、江苏省中医院口腔科简介
医院所开设的口腔科是在1989年就已经正式创办成立的临床科室,不仅肩负着口腔疾病的门诊诊疗和预防保健的工作,而且不断的提高业务水准之后,能够实施的调节项目也比较多,像是人工种植牙、精密附着体等等,都是人气比较高的项目,能够解决患者的真实需求。
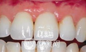
三、江苏省中医院种植牙案例

经过了一段时间的恢复之后,在医院做的种植牙已经比较牢靠,因为所选择的是常规种植,采用了短短半年的时间就已经种植成功,佩戴了牙冠之后可以恢复正常的饮食,除了不要吃一些太过坚硬的食物之外,其他的食物上是没有什么变化的。

“江苏省中医院吴国荣怎么样?”吴医生不仅擅长利用中西医结合来调节口腔疾病,在牙齿种植方面也是深有研究的,所以在诊疗过程当中得到了不少患者朋友的喜爱和认可。
还有整形疑惑?想了解更多整形医院价格信息?可以点击
【在线咨询】与整形顾问一对一沟通,免费为您提供医院对比、医生对比、价格对比等服务喔~!