因为种植牙已经纳入到了医保的范围之内,价格比之前要低了很多,所以当出现了牙齿缺损或牙齿缺失之后,不少患者会优先选择做牙齿种植,泉州二院的牙齿种植技术就很不错,开设有单独的口腔专科,能够进行单颗牙种植,多颗牙种植,满足不同患者的调节需求。

一、泉州二院口腔科简介
泉州二院也就是现在的福建医科大学附属第二医院,是首批通过三甲医院评审的医疗机构,作为教学型的医院,是博士和硕士研究生学位的授权单位,目前已经开设有两个院区。在调节方面,医院是泉州当地较早能够开展大中型外科手术的机构,像是皮肤美容、肿瘤和生殖医学,已经处于省内的领先水平。
从50年代末期所创办成立的口腔科,能够提供牙科病调节,光固化美容修复、缺牙修复等等,在牙齿种植方面,也有着领先于其他医疗机构的优势。狠抓医疗质量,引进了比较多的检查设备和专用的种植系统之后提升了调节的效率。

二、泉州二院口腔科医生推荐
黄聪明,当前在口腔种植和口腔修复上,已经具备有比较丰富的调节经验,还兼任着福建省口腔医学会,口腔种植专业委员会的委员,作为副主任医师,在科室当中的地位还是比较高的。
丁志雄,毕业于广州中山大学光华口腔医学院,是主要开展牙齿种植的医生之一,还专门到中山医院进修学习,到现在从事临床工作10多年的时间里,成功完成了很多的种植修复案例。
三、泉州二院种植牙案例

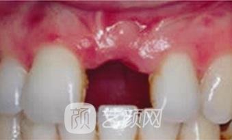
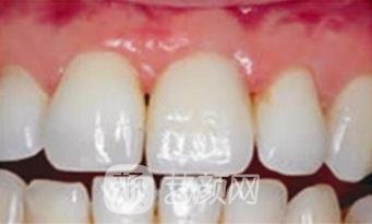
在做了种植牙之后,比我想象当中的恢复速度要快一些,因为选择的是普通的种植方式,拔掉牙齿之后就植入了牙根,可能和自己年龄比较小,有一定的关系,恢复了三个月之后,拍片子看牙根已经比较稳定,所以就能够安装牙冠,完成全部的调节过程,种植之后的形态还是比较好的。

泉州二院种植牙怎么样?作为该地区的三甲医院,在开设有口腔科之后,注重于进行多方面的发展,引进了比较多的种植技术之后,成为了当地很多患者所信赖的医疗机构。
还有整形疑惑?想了解更多整形医院价格信息?可以点击
【在线咨询】与整形顾问一对一沟通,免费为您提供医院对比、医生对比、价格对比等服务喔~!