种植牙也分为很多种的类型,而且在进行调节之前,还要先对牙齿的基本情况进行检查,如果患有牙周炎或者是一些其他的牙龈疾病,需要在调节之后才能够做牙齿种植,因此选择一所适合的医院还是很重要的,吉大二院所开设的口腔科,作为当地较早能够做牙齿种植的综合医院,种植牙的价格在6000元起,费用供大家作为参考。

一、吉大二院口腔科简介
医院是在1936年所创办成立目前在长春市规模比较大的三甲医院,共开设有三个院区,建筑面积16.9万平方米。医院目前已经拥有50个临床科室,作为吉林省乃至东北地区疑难和危重疾病的诊疗中心,开放2600多张床位,拥有6个国家临床重点专科建设项目,还成立了单独的眼科诊疗中心和骨科诊疗中心。
口腔科在成立之后,承担着吉林大学临床教学的工作,在口腔牙周疾病、口腔黏膜疾病和口腔内外科的调节上,具有较为突出的技术优势,已经具备有成熟的种植牙修复技术满足了不同患者的调节需求。

二、吉大二院口腔科人气医生名单
李美华,作为科室的科主任,同时也是主任医生,还兼任教硕士生导师的相关工作,对于各种疑难疾病的诊治比较有经验,像是牙齿种植、前牙美学修复和精密附件修复等等。
代一,从白求恩医科大学毕业之后就作为主要从事口腔内各类临床工作的青年医生,得到了很多患者朋友的肯定,像口腔外科小手术、牙齿拔除、牙齿修复,都是医生比较擅长的业务项目。
三、吉大二院种植牙案例

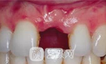
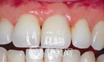
我是因为一场意外原因,导致了门牙缺失一半,所以才想要做牙齿种植,毕竟还年轻,不想破坏旁边的健康牙齿,在和医生说了我的诉求之后,医生建议我选择种植,这样不会影响到正常的生活,约定好了种植的时间,上午种植,下午就能够正常吃东西,而且佩戴的牙冠颜色也和旁边的牙齿颜色是一致的。

吉大二院种植牙价格多少钱?现在市面上种植牙的品牌有很多,使用比较多的就是国产种植牙和韩国奥齿泰种植牙,属于比较适合国人口腔基础条件的种植体,加上价格也并不是特别高,深受患者的好评。
以下项目收费信息为当地市场参考价,通过用户反馈大数据收集整理,仅供参考!不代表该机构实际价格,请以到院面诊为准
|
整形项目价格表 |
|
整形项目 |
价格参考 |
|
3DS超薄瓷贴面 |
3870-9703 |
|
牙齿瓷贴面 |
1668-12467 |
|
E-MAX |
1532-17709 |
|
3D全瓷牙贴面 |
1431-15321 |
|
Mega隐形瓷贴面 |
2474-15310 |
|
美国皓齿 |
1582-15748 |
|
瓷贴面 |
2514-15146 |
|
烤瓷牙补牙 |
1519-13843 |
|
烤瓷牙种植 |
1655-23435 |
|
全瓷牙种植 |
2837-27820 |
|
合金烤瓷牙 |
2829-26601 |
|
贵金属烤瓷牙 |
2756-29951 |
|
二氧化锆全瓷牙 |
2748-30571 |
|
镶牙 |
1433-12287 |
|
牙冠 |
2794-28249 |
|
前突牙 |
2811-29106 |
|
内收牙 |
2941-26827 |
|
牙齿脱落 |
2590-28316 |
|
微创种植 |
2764-31508 |
|
活动假牙 |
2455-29467 |
|
假牙 |
2987-27328 |
|
美容冠 |
1308-3813 |
|
龅牙矫正 |
4990-11448 |
|
地包牙矫正 |
4309-11617 |
|
虎牙矫正 |
2842-10586 |
|
牙齿不齐 |
1170-12641 |
|
牙齿稀疏 |
1071-12345 |
|
牙齿拥挤 |
5852-20595 |
|
隐适美 |
7650-96938 |
|
隐形正畸 |
7390-99160 |
|
金属托槽矫正 |
8258-98629 |
|
自锁托槽矫正 |
9767-88371 |
|
透明托槽矫正 |
7255-88118 |
|
透明隐形矫正 |
9973-95542 |
|
隐形矫正 |
8976-89217 |
|
隐形牙套 |
9280-95626 |
|
牙齿拥挤矫正 |
8226-96758 |
|
地包天矫正 |
7902-93781 |
|
凸嘴矫正 |
8906-98986 |
|
金属托槽 |
9512-102110 |
|
半隐型矫正 |
8905-88176 |
|
陶瓷矫正 |
9229-86310 |
|
深覆颌 |
9263-88354 |
|
牙套 |
7744-88133 |
|
牙颌畸形 |
7843-103944 |
|
补牙 |
853-12273 |
|
牙齿缺损修复 |
1328-10498 |
|
坏牙 |
1279-11401 |
|
蛀牙 |
1274-10306 |
|
拔智齿 |
1137-12819 |
|
牙齿综合 |
1359-11723 |
|
根管调节 |
1481-10952 |
|
牙周护理 |
1309-10214 |
|
牙渍 |
1289-10959 |
|
阻生牙 |
1111-11802 |
|
隐裂牙 |
1106-10330 |
|
多生牙 |
1394-12185 |
|
磨牙 |
1096-10709 |
|
塞牙 |
1056-12203 |
|
牙缝变大 |
1373-12783 |
|
龋齿 |
1204-11843 |
|
牙齿断裂 |
1188-11712 |
|
虫牙 |
1291-10437 |
|
牙洞 |
1099-12034 |
|
树脂补牙 |
1061-12443 |
|
浅龋 |
1473-12818 |
|
中龋 |
1324-12111 |
|
深龋 |
1250-12418 |
|
3M树脂补牙 |
1387-12461 |
|
烂牙 |
1119-11613 |
|
牙齿龋坏 |
1274-12639 |
|
微创根管 |
1238-10558 |
|
牙痛 |
1344-12163 |
|
牙磨损 |
1483-12495 |
|
牙脱位 |
1315-12572 |
|
牙齿外伤 |
1418-12386 |
|
超声波洁牙 |
415-2161 |
|
咖啡牙美白 |
422-2340 |
|
喷砂洁牙 |
353-2239 |
|
色素牙美白 |
457-8300 |
|
四环素牙美白 |
453-7099 |
|
洗牙 |
311-2266 |
|
牙齿冷光美白 |
426-2128 |
|
牙齿抛光 |
356-1584 |
|
牙齿漂白 |
453-2349 |
|
烟渍牙美白 |
432-2276 |
|
冷光美白 |
404-2339 |
|
皓齿美白 |
448-2028 |
|
牙黄变白 |
472-2239 |
|
氟斑牙美白 |
478-2064 |
|
变色牙美白 |
437-2277 |
|
黑牙美白 |
485-2321 |
|
茶渍牙美白 |
450-2024 |
|
牙美白 |
489-2247 |
|
半口牙种植 |
49194-125252 |
|
单颗牙种植 |
11266-28482 |
|
多颗牙种植 |
24216-172961 |
|
后牙种植 |
15834-64816 |
|
前牙种植 |
8270-36323 |
|
全口牙种植 |
74121-271260 |
|
种植牙/颗 |
8006-18794 |
|
瑞士ITI种植牙/颗 |
8626-18087 |
|
美国3I种植牙/颗 |
9381-20855 |
|
德国费亚丹种植牙/颗 |
11388-15342 |
|
瑞典诺贝尔种植牙/颗 |
11367-15790 |
|
德国贝格种植牙/颗 |
8435-16556 |
|
美国百康种植牙/颗 |
9517-16719 |
|
瑞典诺贝尔种植/颗 |
11145-22407 |
|
ITI瑞锆种植牙/颗 |
9205-15499 |
|
韩国奥齿泰种植牙/颗 |
6657-10124 |
|
韩国登特斯种植牙/颗 |
5873-10275 |
|
韩国美格真种植牙/颗 |
5780-15730 |
|
韩国登腾种植牙/颗 |
5487-10427 |
|
韩国dio种植牙/颗 |
5255-10120 |
|
德国ICX种植牙/颗 |
10639-19304 |
|
法国安多健种植/颗 |
11169-17887 |
|
进口种植牙/颗 |
9163-17624 |
|
国产种植牙 |
5668-11724 |
|
以上价格仅供参考,实际价格请到医院面诊获取! |
还有整形疑惑?想了解更多整形医院价格信息?可以点击
【在线咨询】与整形顾问一对一沟通,免费为您提供医院对比、医生对比、价格对比等服务喔~!