在人的整个身体上,基本暴露在外面的硬组织,也就属牙齿了,随着人们饮食结构的变化,或者年龄增长,很多人的牙齿都出现了问题,需要及时去医院就诊,现在也有很多牙科,能够解决牙齿和口腔方面的问题。沂水中心医院牙科很有实力,针对各类口腔、牙齿存在的问题,都能采取科学合理的方式解决,收费并不贵,价格合理适中,也没有隐形收费,医生的专业水准比较高,能在临床工作中稳定发挥,解决了很多口腔、牙齿方面的疑难问题。

一、沂水中心医院牙科怎么样?
坐落于山东省临沂市沂水县城健康路17号,获得了三甲医院的大力扶持,科室医疗资源丰富,创建已有多年,是全国住院医师规范化培训口腔全科培训基地,也是省口腔颌面部肿瘤与修复重建专科联盟单位,是市级临床重点专科,针对各类疑难口腔和牙齿问题,都能熟练解决,诊疗能力比较卓越。

二、沂水中心医院牙科种植牙案例
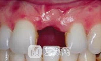
之前出了一点小小的事故,说起来还挺难以启齿的,把牙给撞的松动了,有一颗牙根已经特别松了,到医院去检查之后,医生说建议我把牙齿拔掉重新种植,当时感觉问题挺严重的,然后就听了医生的建议,医生给我介绍了很多不同的种植体,我感觉国产的性价比就蛮高的,就选择了国产的种植体,然后医生开始帮我操作。

做种植手术的时候,过程并不算太复杂,但对医生的技术要求也是蛮高的,医生操作手法熟练,用了不到一个小时的时间,种植手术就做完了,种植后看着很美观,不过一开始感觉不大适应,磨合了一段时间,体验感就变得越来越好了,恢复之后感觉跟自己的牙没啥区别,用着也蛮合适的。

沂水中心医院牙科怎么样?拥有多项特色技术,能够开展的诊疗项目也很丰富,能够根据不同人的实际状况,进行精准分析后再,配备的医疗设施较为全面,科室在发展过程中也在提升诊疗技术和拓宽诊疗范围,综合实力值得认可。
以下项目收费信息为当地市场参考价,通过用户反馈大数据收集整理,仅供参考!不代表该机构实际价格,请以到院面诊为准
|
整形项目价格表 |
|
整形项目 |
价格参考 |
|
鼻中隔软骨隆鼻 |
17671-60004 |
|
玻尿酸隆鼻 |
24224-80126 |
|
硅胶隆鼻 |
17116-52374 |
|
假体隆鼻 |
16089-55393 |
|
胶原蛋白隆鼻 |
16632-52182 |
|
隆鼻失败修复 |
37564-88839 |
|
膨体隆鼻 |
24777-70884 |
|
微晶瓷隆鼻 |
15755-52108 |
|
自体耳软骨隆鼻 |
17320-56695 |
|
自体肋软骨隆鼻 |
15789-63449 |
|
自体隆鼻 |
17813-61582 |
|
自体脂肪隆鼻 |
24633-79521 |
|
线 雕隆鼻 |
24512-74953 |
|
耳软骨隆鼻 |
24522-77481 |
|
隆鼻价格 |
24549-70415 |
|
软肋骨隆鼻 |
24881-68159 |
|
注射隆鼻 |
24989-77790 |
|
隆鼻手术 |
13556-57138 |
|
达拉斯隆鼻 |
24426-75078 |
|
隆鼻假体取出 |
24655-76057 |
|
隆鼻 |
24798-75089 |
|
网红隆鼻 |
24528-70540 |
|
隆鼻价目表 |
24236-76884 |
|
鬓角移植植发 |
9918-42859 |
|
FUE种植头发 |
24580-37085 |
|
FUT种植头发 |
9871-18005 |
|
男性植发 |
9009-37955 |
|
女性植发 |
8844-26655 |
|
PTT植发技术 |
8703-18573 |
|
BHT植发技术 |
9599-17021 |
|
SHT植发技术 |
7018-16109 |
|
FUE3.0植发技术 |
9553-18485 |
|
FUE-APL2.0植发技术 |
8875-15048 |
|
LATTICE植发技术 |
9878-19425 |
|
秃顶植发 |
8610-19235 |
|
自体毛发移植 |
12085-63472 |
|
美人尖种植 |
8798-30194 |
|
头顶加密植发 |
4756-52734 |
|
发际线植发 |
4706-61251 |
|
前额植发 |
4227-59242 |
|
疤痕种植 |
820-7120 |
|
眉毛种植 |
12473-34032 |
|
睫毛种植 |
12210-40972 |
|
胡须种植 |
9076-26245 |
|
天宫线植发 |
8789-26697 |
|
鬓角种植 |
7876-29425 |
|
性感比基尼线 |
8672-26080 |
|
种植胡须 |
9152-37947 |
|
M型植发 |
7296-35301 |
|
植发手术 |
7824-37349 |
|
人工植发 |
9699-31936 |
|
无痕植发 |
9313-33211 |
|
补发植发 |
8250-34015 |
|
头发植发 |
7218-31796 |
|
颧骨垫高 |
4713-10054 |
|
磨颧骨 |
21519-53020 |
|
颧骨降低 |
27265-63568 |
|
颧骨内推 |
27822-59325 |
|
颧骨缩小失败修复 |
24755-121619 |
|
玻尿酸垫下巴 |
2415-10389 |
|
垫下巴失败修复 |
4621-19027 |
|
硅胶垫下巴 |
5806-21594 |
|
假体垫下巴 |
4529-18443 |
|
胶原蛋白垫下巴 |
1590-15698 |
|
膨体垫下巴 |
749-31508 |
|
自体骨垫下巴 |
13010-41931 |
|
自体脂肪垫下巴 |
4557-12799 |
|
E光美容 |
2469-7353 |
|
隆胸手术 |
4556-123959 |
|
硅胶隆胸 |
5504-187105 |
|
韩式隆胸 |
6206-56679 |
|
假体隆胸 |
10182-162747 |
|
胶原蛋白丰胸 |
4914-186537 |
|
隆胸修复 |
7468-207766 |
|
无痕微创隆胸 |
11433-54400 |
|
自体脂肪隆胸 |
13930-112591 |
|
膨体隆胸 |
14476-129303 |
|
吸脂隆胸 |
14592-102760 |
|
注射隆胸 |
13005-119453 |
|
内窥镜隆胸 |
14661-107049 |
|
自体隆胸 |
11796-120044 |
|
抽脂隆胸 |
12958-104892 |
|
无痕隆胸 |
12614-102297 |
|
微创隆胸 |
12640-125642 |
|
隆胸价格 |
13365-120913 |
|
美容冠 |
1350-3413 |
|
龅牙矫正 |
4855-11028 |
|
地包牙矫正 |
4978-10755 |
|
虎牙矫正 |
2911-12426 |
|
牙齿不齐 |
4524-24399 |
|
牙齿稀疏 |
4020-20126 |
|
牙齿拥挤 |
5956-23404 |
|
隐适美 |
7566-80890 |
|
隐形正畸 |
7679-92306 |
|
金属托槽矫正 |
8180-83583 |
|
自锁托槽矫正 |
9562-99549 |
|
透明托槽矫正 |
9202-96062 |
|
透明隐形矫正 |
8773-95514 |
|
隐形矫正 |
8620-91941 |
|
隐形牙套 |
7411-80509 |
|
牙齿拥挤矫正 |
9909-81008 |
|
地包天矫正 |
8410-80124 |
|
凸嘴矫正 |
7400-84657 |
|
金属托槽 |
9621-90092 |
|
半隐型矫正 |
8405-99537 |
|
陶瓷矫正 |
9281-96031 |
|
深覆颌 |
8534-89649 |
|
牙套 |
8816-103832 |
|
牙颌畸形 |
9854-92788 |
|
韩式开眼角 |
1463-8407 |
|
开内眼角 |
1497-5959 |
|
开外眼角 |
1456-5164 |
|
开眼角失败修复 |
1626-7510 |
|
无痕开眼角 |
2935-7244 |
|
眼角提升 |
1950-5877 |
|
定点双眼皮 |
3682-19862 |
|
多点双眼皮 |
4081-25138 |
|
韩式三点双眼皮 |
6636-22770 |
|
韩式双眼皮 |
5663-22477 |
|
埋线双眼皮 |
3879-17333 |
|
欧式双眼皮 |
7213-23069 |
|
切开双眼皮 |
4538-28099 |
|
双眼皮修复 |
6582-37118 |
|
微创双眼皮 |
4474-21681 |
|
肿泡眼双眼皮 |
9881-23588 |
|
割双眼皮 |
7780-24137 |
|
全切双眼皮 |
7683-24624 |
|
压线双眼皮 |
8792-23063 |
|
无痕双眼皮 |
9881-23335 |
|
拉双眼皮手术 |
9568-22422 |
|
三点定位双眼皮 |
8264-20454 |
|
自体脂肪填充整形 |
8151-236822 |
|
自体脂肪填充丰太阳穴 |
8025-201371 |
|
自体脂肪填充丰苹果肌 |
8202-229836 |
|
自体脂肪填充丰脸 |
9332-227445 |
|
自体脂肪丰下巴 |
8229-243041 |
|
自体脂肪填充丰额头 |
8387-256702 |
|
自体脂肪填充丰法令纹 |
9204-232549 |
|
自体脂肪填充下巴曲线 |
9236-230160 |
|
自体脂肪填充丰胸 |
11103-221505 |
|
自体脂肪填充面部 |
8161-246786 |
|
自体脂肪填充隆鼻 |
9016-224369 |
|
自体脂肪填充丰面颊 |
9105-220820 |
|
面部脂肪填充 |
9278-250704 |
|
自体脂肪填充丰泪沟 |
5178-200998 |
|
自体脂肪填充丰鼻唇沟 |
5239-226782 |
|
自体脂肪填充丰眼窝 |
5025-228743 |
|
自体脂肪填充丰眉弓 |
5301-258262 |
|
自体脂肪填充丰耳垂 |
5374-223037 |
|
自体脂肪填充丰发际线 |
5224-207842 |
|
自体脂肪填充丰眼睑 |
5313-243785 |
|
自体脂肪填充丰鼻基底 |
5372-241554 |
|
自体脂肪填充丰人中脊 |
5185-225945 |
|
自体脂肪填充脸部 |
5389-244410 |
|
自体脂肪填充全脸 |
9394-226766 |
|
自体脂肪填充下巴 |
5216-242127 |
|
超声刀 |
2624-23219 |
|
电波拉皮 |
5731-14466 |
|
热玛吉3代 |
2190-8961 |
|
热玛吉4代 |
6532-13206 |
|
热玛吉5代 |
11086-43107 |
|
PRP自体血清美肤 |
1167-13470 |
|
射频紧肤 |
1015-3117 |
|
NIR光波紧肤 |
1036-3131 |
|
热拉提 |
9925-12841 |
|
拉皮手术提升/次 |
24337-63710 |
|
内窥镜手术提升/次 |
21095-41828 |
|
小切口手术提升/次 |
10248-20482 |
|
青春解码仪美肤/次 |
243-524 |
|
皮秒激光 |
10184-20045 |
|
埋线提升 |
5353-30261 |
|
fotona欧洲之星/次 |
9200-13771 |
|
以上价格仅供参考,实际价格请到医院面诊获取! |
还有整形疑惑?想了解更多整形医院价格信息?可以点击
【在线咨询】与整形顾问一对一沟通,免费为您提供医院对比、医生对比、价格对比等服务喔~!