如果存在有牙齿缺失的情况,常州三院开设有单独的口腔科,利用ct机能够采集到患者的口腔数据,方便医生设计种植方案,医院开设有急诊,如果遇到有突发问题,也是可以联系到口腔科的医生的。

一、常州三院口腔科简介
在1956年成立,承担着本区域内公共卫生事件的救治工作,获得过江苏省文明单位、企业文化建设先进单位等荣誉称号。
口腔科的发展速度比较快,而且技术能够紧跟时代发展潮流,所开展的项目的比较特色的是烤瓷牙修复和牙齿的正畸,也能够利用多种种植体完成牙齿的修复,可以解决患者所存在的反牙颌、牙齿缺失等一些问题,之后的牙齿有着美观且逼真的效果,整个的过程舒适度也是比较高的。

二、常州三院口腔科医生怎么样
蒋建兴,是现任口腔科的主任,在口腔修复和口腔种植方面技术比较成熟,早年间在不少医学杂志上发表了和牙齿相关的论文,提出的一些理念,也被业界的医生所肯定。
黄建民,是科室当中主要负责常规手术的医生,在口腔黏膜疾病的和牙齿种植方面,技术优势较为突出,医生能够熟练地使用数字化种植导板ct机等一些设备,获取到患者的口腔信息,增加了手术成功的概率。
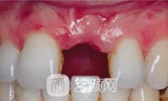
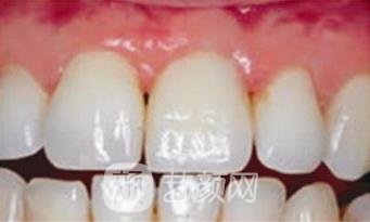
三、常州三院口腔科种植牙案例

我和大多数人一样,一提到种植牙就有一些紧张的情绪,但是在整个的过程当中,可能是因为打了麻药,也有可能是因为医生注意到了我紧张的情绪,所以动作也比较轻柔,还和我反复的说话来分散注意力,采用的是微创操作,术中的出血比较少,把缺失的牙齿种植之后,恢复了口腔的牙齿功能。

常州三院急诊有牙科吗?医院在牙齿种植方面引进的种植导板技术,可以帮助医生在过程当中准确的定位到需要种植的位置上,这样就能够减少在种植时对于牙齿组织造成的损伤,摆脱了以往纯靠医生经验进行盲种的弊端。
还有整形疑惑?想了解更多整形医院价格信息?可以点击
【在线咨询】与整形顾问一对一沟通,免费为您提供医院对比、医生对比、价格对比等服务喔~!