这两年摩托车又开始流行了,摩托大军只要骑上摩托,就可以去向自己想要去的任何地方,也不怕山高路远,但是骑摩托车确实是一项比较危险的行为,因为毕竟是肉包铁的,好多人就是因为不注意,出车祸把牙齿磕掉了,就得做牙齿种植。河北石家庄赵县县医院还蛮有实力的,牙科具有自身的医疗特色,在口腔疾病和牙齿问题诊治方面,已经成为了很多个体所认可的临床科室,技术是领先的,专业水平也是很高的,并且也是正规可靠的。

一、河北石家庄赵县县医院牙科怎么样?
坚持高质量的医疗服务,坚持以病人为中心,专注于口腔和牙齿健康领域,是一家现代化的口腔科室,医疗团队技术娴熟,能够提供各种各样的口腔诊疗服务,也配备有很多综合性的口腔诊疗设施,医生团队经验充足,从病人的角度出发进行考虑,引进可靠的技术,营造舒适的诊疗环境。

二、河北石家庄赵县县医院牙科种植牙案例
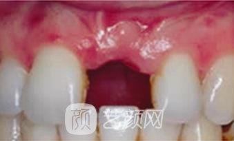
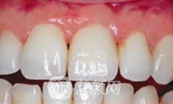
以前感觉自己的牙齿可健康了,吃再硬的东西都能咀嚼的动,感觉自己简直就是铁齿铜牙,这两年不行了,感觉牙齿出了很大的问题,检查之后才发现,确实有一颗牙齿已经龋坏到根部了,医生给出的建议是拔除重做种植,既然也没有更好的方法,就决定了听从医生的建议,准备踏上我的牙齿种植之路。

做种植的时候,医生很照顾我的体验感,完全照顾到我这个小女生的情绪,手法真的很轻柔,整个种植过程耗时不到一小时,种植体选的也挺好的,颜色比较逼真,而且性价比也挺高的,结束之后还是有些不适应,医生说让我回去之后先吃比较软的食物,磨合几天就会好转,果然就跟医生说的一样,适应了几天就好了。

河北石家庄赵县县医院牙科怎么样?倡导健康、科学的口腔诊疗方式,就诊环境也比较温馨,能够提供比较安全和可靠的方案,并且医疗服务质量也挺高的,也建立了完备的医疗服务体系,能够进行一站式服务。
还有整形疑惑?想了解更多整形医院价格信息?可以点击
【在线咨询】与整形顾问一对一沟通,免费为您提供医院对比、医生对比、价格对比等服务喔~!