众所周知,北京当地的医疗资源是很丰富的,也是其他城市没办法相提并论的,毕竟是国内拥有三甲医院数量比较多的地区,其中的北大医院,在牙齿种植方面的发挥一直很稳定,因为是医保指定医院,再加上种植牙已经纳入到医保的范畴内,所以是可以报医保的,但需要满足相应的条件,具体要到医院经过检查后才能够确定。

一、北大医院口腔科简介
上百年的时间里,有多个首先在这里创办的专业学科,自己研发的诊疗技术较多,微创切口肺移植,冠心病介入都是先在这里开展的,技术上的优势,让医院还承担着大量的教学任务,包括护理人员的培训。
在1997年,口腔科从建科之后就看重于技术的提高,设立有单独的门诊,在职的医生中,硕士学历以上的就有5人,均毕业于国内重点医科大学,所以医生的综合能力是没得说的,主要开展的项目是牙列缺损修复、利用现代正畸技术解决牙列缺失。在方面严格遵循国际消毒标准,还引进消毒设备,彻底杜绝出现传染疾病。

二、北大医院口腔科哪位医生技术好?
冯驭驰,能够就缺失的牙齿做种植修复,恢复口腔功能的同时兼顾牙齿的美观,担任科主任多年的时间里,是北京市颌面外科专委会的委员。
王秋月,拥有口腔修复硕士学位,是在科室当中主要负责补牙和牙齿种植,有着为儿童进行口腔疾病的主治医生,态度亲切,业务能力强。
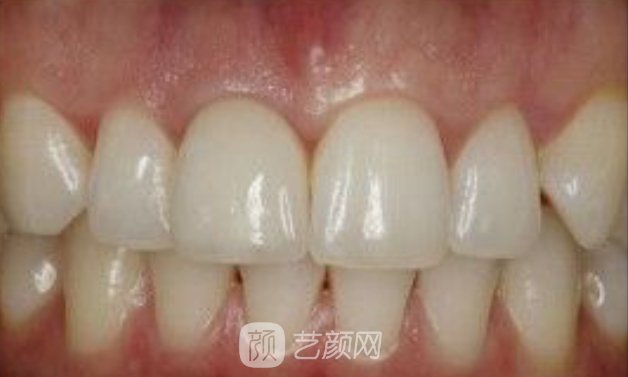
三、医院口腔科种植牙案例

怪不得人们说喝酒误事,前段时间因为喝酒导致门牙磕掉一半,回去挨骂不说,还得花钱把牙修补起来,医生检查后让我两周后做牙齿种植,因为担心影响自己的形象。就先套了美容冠,选择的是传统的种植,需要先让牙根和牙骨结合起来,彻底稳固在佩戴牙冠整个过程用了大半年的时间。

北大医院种植牙可以报医保吗?在种植牙方面的不断突破,可以使用的种植技术多元化,从单一的单颗牙种植,已经升级到全口种植。
还有整形疑惑?想了解更多整形医院价格信息?可以点击
【在线咨询】与整形顾问一对一沟通,免费为您提供医院对比、医生对比、价格对比等服务喔~!