和牙齿正畸不同,种植牙在的过程当中,现在已经有很多的方法可以使用,不需要很长的恢复时间弥补了缺失的牙齿,就能够恢复正常的咀嚼功能,苏州市口腔医院作为全能型的口腔专科医院,种植牙是技术优势,可以尝试做普通种植,医院还提供了当天就能够吃东西的种植牙。

一、苏州市口腔医院简介
相继开设了很多的分布,并且布局在苏州的多个地区,还覆盖到了常熟和张家港。作为苏州口腔健康指挥中心,也是多所院校的口腔教学医院获得很多荣誉称号。当下还肩负着全市口腔疾病预防的工作,所开设的科室,针对于牙齿种植的中心,当中的种植系统一应俱全。也在种植之前能够做相应的口腔检查。

二、苏州市口腔医院医生推荐
蔡建强 ,从事口腔种植临床工作10余载,对于全口种植的是很熟悉的,还能够利用植骨手术,弥补牙骨缺失的需求,在进行种植之前也能够就阻生牙等一些相对复杂的牙齿拔除掉,利用的还是微创方法,方便后续做种植。
孟凡文 ,毕业于第四军医大学口腔医学院,在口腔肿瘤中心工作多年,是现任的科主任,并作为苏州市口腔种植专委会的成员之一,充分发挥在牙齿种植方面的优势,截至当前已经拥有两项医疗成果奖和科技成果奖,所参与的研究课题和新型技术引进,获得了官方的肯定。
三、苏州市口腔医院种植牙案例

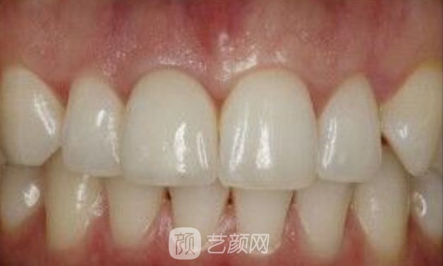
要么人们怎么说意外和明天不知道哪一个会提前到来,我也属实没想到就是打了个篮球而已,就导致了半个牙齿脱落找不到。在医院重新做了修复,在多种修复方式上比较纠结,为了不影响之后的学习,把半截牙齿拔掉之后就直接种了牙根,之后就直接套了牙冠,等到我出院的时候就已经拥有整齐的牙齿,回家后稍微有一些酸胀,不过还能够接受。

苏州市口腔医院价格表分享到这里,是省内具有代表性的口腔专科医院,开设了很多的连锁分院,还专门打造了种植牙门诊部,简化了的流程,可以快速完成种植。
以下项目收费信息为当地市场参考价,通过用户反馈大数据收集整理,仅供参考!不代表该机构实际价格,请以到院面诊为准
|
整形项目价格表 |
|
整形项目 |
价格参考 |
|
3DS超薄瓷贴面 |
3388-10320 |
|
牙齿瓷贴面 |
1734-12741 |
|
E-MAX |
2089-15800 |
|
3D全瓷牙贴面 |
1649-17900 |
|
Mega隐形瓷贴面 |
2388-17321 |
|
美国皓齿 |
2489-15265 |
|
瓷贴面 |
2417-15871 |
|
烤瓷牙补牙 |
1904-15060 |
|
烤瓷牙种植 |
1866-23755 |
|
全瓷牙种植 |
2763-25995 |
|
合金烤瓷牙 |
2609-27758 |
|
贵金属烤瓷牙 |
2843-31931 |
|
二氧化锆全瓷牙 |
2679-27662 |
|
镶牙 |
1922-11532 |
|
牙冠 |
2893-25962 |
|
前突牙 |
2842-31068 |
|
内收牙 |
2444-28335 |
|
牙齿脱落 |
2502-27137 |
|
微创种植 |
2559-25456 |
|
活动假牙 |
2997-29994 |
|
假牙 |
2727-25108 |
|
美容冠 |
1078-3678 |
|
龅牙矫正 |
4494-10653 |
|
地包牙矫正 |
4192-10259 |
|
虎牙矫正 |
2914-12724 |
|
牙齿不齐 |
1182-11935 |
|
牙齿稀疏 |
1419-12156 |
|
牙齿拥挤 |
5565-25332 |
|
隐适美 |
7911-83696 |
|
隐形正畸 |
8789-83554 |
|
金属托槽矫正 |
7064-96642 |
|
自锁托槽矫正 |
9443-98152 |
|
透明托槽矫正 |
8594-86007 |
|
透明隐形矫正 |
8810-90614 |
|
隐形矫正 |
7557-87163 |
|
隐形牙套 |
9690-94222 |
|
牙齿拥挤矫正 |
8249-89911 |
|
地包天矫正 |
8143-81201 |
|
凸嘴矫正 |
8892-88492 |
|
金属托槽 |
9823-102802 |
|
半隐型矫正 |
9751-103317 |
|
陶瓷矫正 |
9723-98862 |
|
深覆颌 |
8953-87615 |
|
牙套 |
8836-102094 |
|
牙颌畸形 |
8978-82554 |
|
补牙 |
885-10009 |
|
牙齿缺损修复 |
1146-11259 |
|
坏牙 |
1290-12402 |
|
蛀牙 |
1384-11293 |
|
拔智齿 |
1095-11115 |
|
牙齿综合 |
1325-10866 |
|
根管 |
1417-10588 |
|
牙周护理 |
1398-12541 |
|
牙渍 |
1493-11377 |
|
阻生牙 |
1335-10355 |
|
隐裂牙 |
1313-12199 |
|
多生牙 |
1107-12844 |
|
磨牙 |
1087-11444 |
|
塞牙 |
1089-10666 |
|
牙缝变大 |
1251-10971 |
|
龋齿 |
1391-12806 |
|
牙齿断裂 |
1067-12247 |
|
虫牙 |
1097-11566 |
|
牙洞 |
1270-11513 |
|
树脂补牙 |
1408-10414 |
|
浅龋 |
1142-12167 |
|
中龋 |
1329-12547 |
|
深龋 |
1254-12793 |
|
3M树脂补牙 |
1089-10056 |
|
烂牙 |
1119-11398 |
|
牙齿龋坏 |
1316-10668 |
|
微创根管 |
1193-10782 |
|
牙痛 |
1158-11096 |
|
牙磨损 |
1054-12564 |
|
牙脱位 |
1157-11945 |
|
牙齿外伤 |
1313-12561 |
|
超声波洁牙 |
467-2189 |
|
咖啡牙美白 |
469-2371 |
|
喷砂洁牙 |
320-2005 |
|
色素牙美白 |
494-8067 |
|
四环素牙美白 |
499-7304 |
|
洗牙 |
398-2030 |
|
牙齿冷光美白 |
472-2126 |
|
牙齿抛光 |
398-1598 |
|
牙齿漂白 |
474-2225 |
|
烟渍牙美白 |
464-2059 |
|
冷光美白 |
427-2325 |
|
皓齿美白 |
474-2202 |
|
牙黄变白 |
414-2282 |
|
氟斑牙美白 |
457-2254 |
|
变色牙美白 |
446-2249 |
|
黑牙美白 |
457-2239 |
|
茶渍牙美白 |
495-2124 |
|
牙美白 |
469-2114 |
|
半口牙种植 |
51340-120882 |
|
单颗牙种植 |
12841-30002 |
|
多颗牙种植 |
27692-192049 |
|
后牙种植 |
15099-60140 |
|
前牙种植 |
9032-37403 |
|
全口牙种植 |
75562-258939 |
|
种植牙/颗 |
9306-18839 |
|
瑞士ITI种植牙/颗 |
8591-16917 |
|
美国3I种植牙/颗 |
9614-21674 |
|
德国费亚丹种植牙/颗 |
11634-15256 |
|
瑞典诺贝尔种植牙/颗 |
11787-16509 |
|
德国贝格种植牙/颗 |
9007-18851 |
|
美国百康种植牙/颗 |
8735-17119 |
|
瑞典诺贝尔种植/颗 |
11044-22290 |
|
ITI瑞锆种植牙/颗 |
8450-16492 |
|
韩国奥齿泰种植牙/颗 |
6110-10258 |
|
韩国登特斯种植牙/颗 |
5631-9567 |
|
韩国美格真种植牙/颗 |
5774-18032 |
|
韩国登腾种植牙/颗 |
5513-10240 |
|
韩国dio种植牙/颗 |
5563-10057 |
|
德国ICX种植牙/颗 |
10899-19451 |
|
法国安多健种植/颗 |
11258-16415 |
|
进口种植牙/颗 |
9284-18474 |
|
国产种植牙 |
5245-11327 |
|
以上价格仅供参考,实际价格请到医院面诊获取! |
还有整形疑惑?想了解更多整形医院价格信息?可以点击
【在线咨询】与整形顾问一对一沟通,免费为您提供医院对比、医生对比、价格对比等服务喔~!