如果牙齿缺失的情况比较多,只是残留的几颗牙齿,可以把没有什么用的牙齿拔掉,直接做全口或者是半口种植,这样的方式可以在塘厦人民医院体验到,医院的口腔科已经具备有做牙齿种植的能力,单颗种植牙的价格在8800元起,全口种植牙的价格在5.6万元起,价格作为参考。

一、塘厦人民医院口腔科简介
作为一所二级甲等医院,是在面向社会开放之后开设科室比较多的综合性医院,设立的门诊部还提供有手术区域,并且打造糖尿病、外科等一些专科门诊,各种科室之间紧密联合,急诊科室提供24小时的全科急诊和120的急救服务。
口腔科也是医院当中的大型科室,会根据实际情况给出综合性的判断,像是在牙周疾病的和牙齿缺失的修复上,可以带来更好的就医体验,近年来特别看重于牙齿种植技术的发展,并且引进一些种植设备和种植的技术,利用数字化的装备,可以准确的把牙根种植到牙窝里,医生也曾在上级医疗单位里学习。

二、塘厦人民医院口腔科种植牙案例
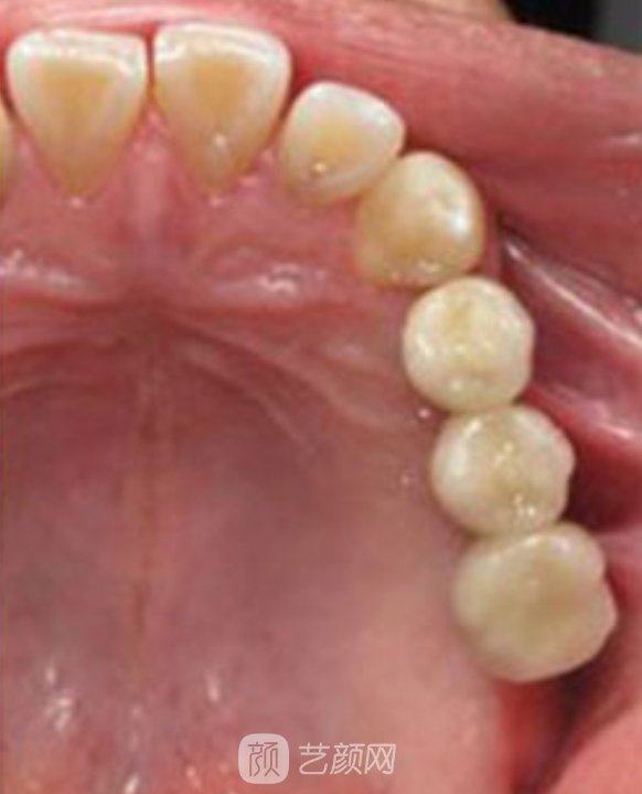
我患有多年的牙周炎,半口牙齿基本上都掉光了,去医院做检查的时候才知道原来是因为自己的骨质异常,再加上又患有口腔炎症导致缺牙的速度就越来越快,如果再不加以及早,就很容易出现全口牙都掉光的情况。

正常人这样的问题在时都很考验医生的技术,更不要说像我这种骨质骨量都出现问题的人,走访了很多的医院,都不太敢接受,直到在人民医院才做了牙齿种植,大家可以想象一下我当时的心情,就仿佛重生了一般。

医生根据我的实际情况做了特殊的设计,虽然的难度比较大,但是也顺利地完成了种植,现在已经过去有半年,终于拥有了一口全新的好牙。
塘厦人民医院可以种植牙吗?医院所开设的口腔科已经提供了很多的项目,注重于在技术方面进行提升,像牙齿种植,经常会有人在这里做全口种植。
以下项目收费信息为当地市场参考价,通过用户反馈大数据收集整理,仅供参考!不代表该机构实际价格,请以到院面诊为准
|
整形项目价格表 |
|
整形项目 |
价格参考 |
|
3DS超薄瓷贴面 |
3608-9720 |
|
牙齿瓷贴面 |
1913-11124 |
|
E-MAX |
2443-17287 |
|
3D全瓷牙贴面 |
1737-16160 |
|
Mega隐形瓷贴面 |
2461-17845 |
|
美国皓齿 |
2091-17858 |
|
瓷贴面 |
1600-16273 |
|
烤瓷牙补牙 |
1605-14341 |
|
烤瓷牙种植 |
1955-21539 |
|
全瓷牙种植 |
2829-30705 |
|
合金烤瓷牙 |
2898-27030 |
|
贵金属烤瓷牙 |
2883-25937 |
|
二氧化锆全瓷牙 |
2681-30825 |
|
镶牙 |
1495-12962 |
|
牙冠 |
2770-29876 |
|
前突牙 |
2518-25616 |
|
内收牙 |
2601-26555 |
|
牙齿脱落 |
2786-29115 |
|
微创种植 |
2999-28553 |
|
活动假牙 |
2696-26409 |
|
假牙 |
2937-25133 |
|
美容冠 |
1054-3740 |
|
龅牙矫正 |
4501-10868 |
|
地包牙矫正 |
4755-11347 |
|
虎牙矫正 |
2637-10197 |
|
牙齿不齐 |
1493-10791 |
|
牙齿稀疏 |
1286-11799 |
|
牙齿拥挤 |
5388-21451 |
|
隐适美 |
7317-85729 |
|
隐形正畸 |
9934-97587 |
|
金属托槽矫正 |
8833-95038 |
|
自锁托槽矫正 |
8543-95285 |
|
透明托槽矫正 |
8629-83320 |
|
透明隐形矫正 |
8045-101442 |
|
隐形矫正 |
7422-86928 |
|
隐形牙套 |
8751-86538 |
|
牙齿拥挤矫正 |
7325-99132 |
|
地包天矫正 |
9522-86894 |
|
凸嘴矫正 |
7363-89433 |
|
金属托槽 |
9628-88904 |
|
半隐型矫正 |
9455-103564 |
|
陶瓷矫正 |
9335-91910 |
|
深覆颌 |
8680-80943 |
|
牙套 |
8893-89302 |
|
牙颌畸形 |
7452-92684 |
|
补牙 |
921-10336 |
|
牙齿缺损修复 |
1314-10661 |
|
坏牙 |
1065-10182 |
|
蛀牙 |
1377-10546 |
|
拔智齿 |
1345-10173 |
|
牙齿综合 |
1192-12628 |
|
根管 |
1323-11963 |
|
牙周护理 |
1289-10643 |
|
牙渍 |
1318-12536 |
|
阻生牙 |
1299-12988 |
|
隐裂牙 |
1410-12197 |
|
多生牙 |
1193-10954 |
|
磨牙 |
1335-11058 |
|
塞牙 |
1156-10233 |
|
牙缝变大 |
1154-12198 |
|
龋齿 |
1320-10148 |
|
牙齿断裂 |
1477-11965 |
|
虫牙 |
1407-10559 |
|
牙洞 |
1355-12345 |
|
树脂补牙 |
1478-11003 |
|
浅龋 |
1388-10399 |
|
中龋 |
1348-11351 |
|
深龋 |
1408-10250 |
|
3M树脂补牙 |
1495-10958 |
|
烂牙 |
1214-11654 |
|
牙齿龋坏 |
1409-10450 |
|
微创根管 |
1098-10294 |
|
牙痛 |
1081-12673 |
|
牙磨损 |
1161-11704 |
|
牙脱位 |
1172-11552 |
|
牙齿外伤 |
1180-10801 |
|
超声波洁牙 |
404-2372 |
|
咖啡牙美白 |
411-2290 |
|
喷砂洁牙 |
353-2285 |
|
色素牙美白 |
403-8030 |
|
四环素牙美白 |
426-7350 |
|
洗牙 |
355-2393 |
|
牙齿冷光美白 |
449-2020 |
|
牙齿抛光 |
361-1590 |
|
牙齿漂白 |
451-2228 |
|
烟渍牙美白 |
476-2345 |
|
冷光美白 |
412-2362 |
|
皓齿美白 |
495-2005 |
|
牙黄变白 |
486-2219 |
|
氟斑牙美白 |
408-2233 |
|
变色牙美白 |
486-2340 |
|
黑牙美白 |
479-2159 |
|
茶渍牙美白 |
481-2353 |
|
牙美白 |
473-2196 |
|
半口牙种植 |
50507-120157 |
|
单颗牙种植 |
11446-30679 |
|
多颗牙种植 |
26873-189709 |
|
后牙种植 |
18058-62456 |
|
前牙种植 |
8794-36162 |
|
全口牙种植 |
76970-314651 |
|
种植牙/颗 |
9718-17794 |
|
瑞士ITI种植牙/颗 |
9058-16821 |
|
美国3I种植牙/颗 |
8189-20961 |
|
德国费亚丹种植牙/颗 |
11712-19223 |
|
瑞典诺贝尔种植牙/颗 |
11628-15663 |
|
德国贝格种植牙/颗 |
8229-16610 |
|
美国百康种植牙/颗 |
8923-18765 |
|
瑞典诺贝尔种植/颗 |
11712-21795 |
|
ITI瑞锆种植牙/颗 |
9953-15499 |
|
韩国奥齿泰种植牙/颗 |
6789-10171 |
|
韩国登特斯种植牙/颗 |
5182-9430 |
|
韩国美格真种植牙/颗 |
5425-18670 |
|
韩国登腾种植牙/颗 |
5064-10456 |
|
韩国dio种植牙/颗 |
5586-10311 |
|
德国ICX种植牙/颗 |
10599-19125 |
|
法国安多健种植/颗 |
11615-16276 |
|
进口种植牙/颗 |
9389-18719 |
|
国产种植牙 |
5045-12579 |
|
以上价格仅供参考,实际价格请到医院面诊获取! |
还有整形疑惑?想了解更多整形医院价格信息?可以点击
【在线咨询】与整形顾问一对一沟通,免费为您提供医院对比、医生对比、价格对比等服务喔~!