如果出现了牙齿损伤比较严重的情况,做牙齿种植属于性价比较高的一种方式,而且种植之后的牙齿使用的时间比较久,能够和正常的牙齿一样精心护理,西安联邦口腔朝阳门店是私立的,很早就能够做单颗牙的种植,在此基础之上还能够开展其他的种植,比如像全口种植,实施之后只需要种植几颗牙齿,就能够恢复全口的咀嚼能力。

一、西安联邦口腔朝阳门店简介
在09年一经问世就是西安地区发展速度比较快的口腔医院,具备有很突出的技术能力,院内设立的科室中牙齿种植中心是好评率比较高的专科,此外还涉及到正畸口腔修复,平时也能够在这里做日常的口腔护理,在西安所设立的分店比较多。
强大的专家阵容也是医院的核心优势,当中有一些享受特殊津贴的医生,在公办医院工作的时间里,已经掌握处理复杂口腔问题的方法,参与多项课题研究,还有对于技术的不断优化,可以综合性的解决,口腔咀嚼功能下降。

始终遵循四手原则,在过程当中,使用到的大部分器械都是一次性的,拥有高温灭菌设备,也能够对大型设备做灭菌处理。
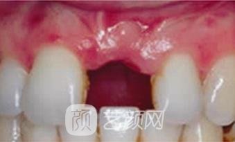
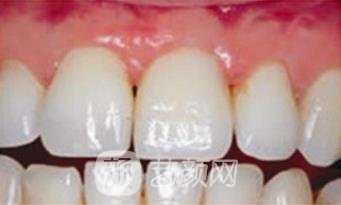
二、西安联邦口腔朝阳门店种植牙案例

现在的种植技术已经比较成熟,上周和同事在聊天的时候得知原来还能够在拔掉牙齿的同时,就把牙根植入进去,再也不用像之前一样,要等待半年以上才能够安装牙冠,正好我也有两颗牙齿摇摇欲坠,就去医院体验了一下朋友所说的种植方法,之后的确恢复得很快,只要不吃太过坚硬的食物,和正常的牙齿是没有区别的,对于我来说真的是一件很大的好事。

西安联邦口腔朝阳门店是公立还是私立?提供了不少专业且靠谱的技术,而且还在不断的研究新的项目,所以才能够在种植牙方面的发展速度比较快,一些特色的项目收费也比较合理,逐步提升在西安领域里尤其是年轻顾客心目当中的地位。
还有整形疑惑?想了解更多整形医院价格信息?可以点击
【在线咨询】与整形顾问一对一沟通,免费为您提供医院对比、医生对比、价格对比等服务喔~!