好的医院自然会吸引更多人的注意,哪怕是不做任何的广告,只要有好的质量,也会被大家所熟悉,开设在厦门的麦芽口腔医院,现在已经成为了二级口腔专科医院,在过去的10多年里,凭借着领先的牙齿种植技术,已经成为了大家所认可的正规口腔机构,位于湖滨东路6号,也拥有比较大的就医空间。

一、麦芽口腔医院简介
在传统的口腔方面,医院不仅已经具备有做正畸种植的能力,现在也能够做口腔修复所引进的多种方法,在临床实践当中,医院不仅能够,根据个人的需求,调整的方式,自己还总结出了一套独特的方法,像针对于牙齿种植,在单颗牙种植的基础之上,已经具备有做多颗牙种植的能力,目前引进现代化的医疗管理体系,在不断的升级医院现有的设备,减轻在过程当中的疼痛感。

二、麦芽口腔医院医生技术怎么样?
姚江武,作为主攻牙齿修复的医生,之前在武汉大学所学习的就是口腔学科,已经掌握了扎实的口腔基础知识,医生也作为二级教授,在行业当中工作了很多年,拥有了不少的荣誉称号。在学习了牙齿种植的方法后,可以快速解决牙齿缺失的烦恼。
陈海滨,曾经和口腔科当中的一些知名教授学习,并且作为医学博士,对于现有的技术进行了升级,自己总结之后也发表了多篇文章,作为能够做快速种植的医生,种植之后的效果稳定。
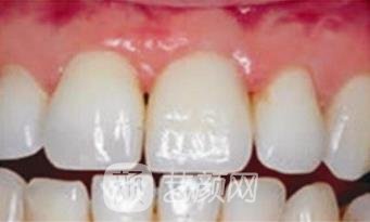
三、麦芽口腔医院种植牙案例

因为牙齿已经缺失了一个,导致原本就不是很整齐的牙列看上去更是雪上加霜,在进行正畸之前先做了牙齿种植,为了不耽误后续的矫正,所以选择的是微创种植,直接在已经空缺的牙窝里面种了牙根,恢复了半年的时间,种植的牙齿已经比较稳定,去医院复查之后,医生通知我可以准备做牙齿矫正,一口气解决口腔的多种问题。

麦芽口腔医院简介分享到这里,就是因为引进了很多的数字设备,才能够得出比较准确的口腔数据,方便医生做出合理的方案,在牙齿种植方面一直保持着国内比较领先的技术。
还有整形疑惑?想了解更多整形医院价格信息?可以点击
【在线咨询】与整形顾问一对一沟通,免费为您提供医院对比、医生对比、价格对比等服务喔~!