在不断攀升的种植牙需求中,人们不再满足于做单颗种植牙,尤其是牙齿损伤较多的情况下,更希望于能够体验半口或全口的种植,新桥医院在推出了舒适化种植案例后,每年来到这里做牙齿种植的人,数量呈几何式的倍数增长,新桥医院种植牙的价格参考6900元起。

一、新桥医院种植牙怎么样?
现在不仅能够做数字化种植对于符合条件的病人,口腔科在提供了半口全口的种植后,已经不再需要浪费太多的时间,当天就能够佩戴牙齿以更短的时间把牙齿弥补到位。平时还会做科普宣传,提升市民对于种植牙的认知,邀请了国内一些很出名的医生做技术指导。

二、医生信息
1、汪昆
以做复杂口腔种植为特色,像是先天缺牙的种植修复、数字化种植,给很多人带来了牙齿修复的希望,前往瑞典的口腔种植中心进修,到现在也取得了口腔种植学博士的学历。

2、李忠禹
是在重庆地区口腔诊疗很出名的老专家,主要负责疑难疾病的诊断,能够就出现的口腔癌症,颅颌面先天畸形等问题提供诊疗服务。工作了近50年,在临床上收获满满,还拥有七项医疗成果奖。

三、新桥医院种植牙案例
正是因为对健康生活的向往,退了休以后,会比以前更注重于保养自己的身体,虽然现在已经有65岁,但仍然觉得还有好几年的好日子在等着我,所以就先从做牙齿种植开始,希望不影响到全国各地吃美食。

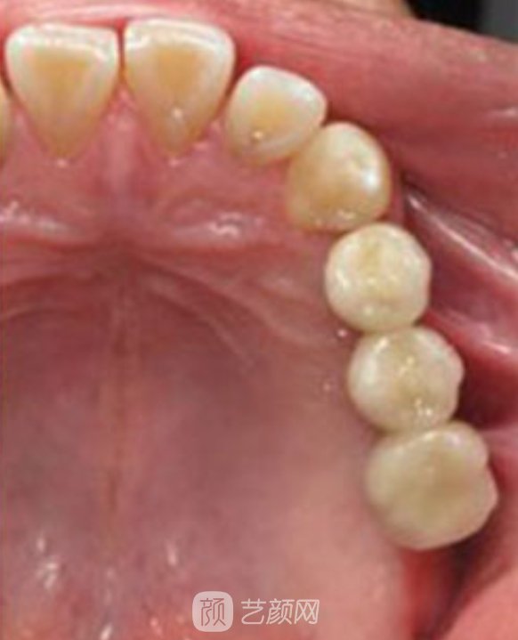
像我做的是半口种植,咬合能力恢复了很多,别看我现在的年龄还在不断的增长,但之前很多不能够吃的东西,正是因为更换了牙齿,真的做到了吃嘛嘛香,而且种植牙齿有一部分是可以走医保的,费用上也能够接受。

新桥医院种植牙多少钱一颗?使用较多的贝格、韩国的美格真,都是现在业界很有名气的牙齿种植品牌,而且医院的种植案例在西部地区也是排在前列的,拥有了很丰富的医疗资源,所以在技术上才会一往无前。
还有整形疑惑?想了解更多整形医院价格信息?可以点击
【在线咨询】与整形顾问一对一沟通,免费为您提供医院对比、医生对比、价格对比等服务喔~!